Рассеянный склероз
Обновлено и проверено 10.11.25

Рассеянный склероз — болезнь, протекающая в нервной системе человеческого организма, которая проявляется в поражении отдельно взятых областей этого отдела.
Рассеянный склероз — болезнь, протекающая в нервной системе человеческого организма, которая проявляется в поражении отдельно взятых областей этого отдела. Представленный недуг стоит на третьем месте среди главных факторов инвалидности в продуктивном периоде жизни, впереди идут только серьезные травмирования и ревматологические заболевания.
Источники, влияющие на развитие рассеянного склероза
Описываемый процесс в нервной системе, проявляется вследствие захвата миелиновой структуры волокон головного и спинного мозга, а также в результате возникновения воспалительных очагов характеризующих данный недуг. К наиболее распространенным факторам появления подобной болезни у людей, относят:
- Наследственную предрасположенность.
- Регулярные заболевания бактериального и вирусного плана.
- Интоксикация организма вредными химическими средствами или радиацией.
- Травмы.
- Присутствие в жизни частых стрессов.
Как понять, что в теле протекает склероз?

- Проблемные процессы, связанные с двигательной активностью.
- Уменьшение уровня чувствительности.
- Появление онемения и характерных покалываний в верхних и нижних конечностях тела.
- Сбои в функционировании системы координации.
- Снижение зрения.
- Трудности, протекающие в работе речевого аппарата (заторможенность, нечеткость и прочее).
- Ухудшение концентрации внимания.
- Высокая степень раздражительности.
- Повышенная утомляемость.
- Присутствие на постоянной основе слабости во всем организме.
- Пониженное либидо.
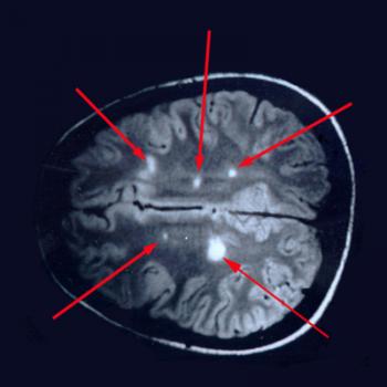
Как проходит диагностика рассеянного склероза?
Для установления правильного и своевременного диагноза, специалист в области неврологии обязан предписать своему пациенту следующие процедуры:
- Сдача крови для иммунологического тестирования.
- МРТ сосудов головного мозга.
- Выполнение спинномозговой пункции.
- Обследования больного неврологического характера.
Способы лечения
Нужно понимать, что рассеянный склероз — неизлечим, поэтому врачи назначают определенные курсы терапевтического плана для облегчения симптоматики заболевания. В подобное лечение входит:
- Прием противовирусных лекарственных средств.
- Ввод гормональных веществ.
- Выполнения плазмафереза.
- Прохождение физиотерапевтических процедур.
Литература
- Акопян, В.С., Нейроархитектоника сетчатки при рассеянном склерозе: диагностические возможности оптической когерентной томографии (предварительные результаты) / В.С. Акопян, А.Н. Бойко, М.В. Давыдовская, Н.С. Семенова [и др.]. - Текст : непосредственный / Офтальмология. - 2011.
- Бойко, А.Н. Вопросы современной терминологии при рассеянном склерозе. - Текст : непосредственный / Журнал неврологии и психиатрии им. С.С. Корсакова. – 2018.

на МРТ/КТ* в Санкт-Петербурге
