Зубной камень
Обновлено и проверено 13.10.25

Зубной камень — заболевание зубной эмали, протекающие в виде отложений минеральной природы или затвердевшего налета, который не был во время обработан. В поражающем процессе принимают участие соли таких элементов, как кальций и железо, а также в большем количестве — соли-фосфаты.
Разновидности
Зубной камень — заболевание зубной эмали, протекающие в виде отложений минеральной природы или затвердевшего налета, который не был во время обработан. В поражающем процессе принимают участие соли таких элементов, как кальций и железо, а также в большем количестве — соли-фосфаты. Кроме того, в состав отложения входят компоненты застрявшей еды, бактерии и омертвевшие клетки из области десен.
Согласно общественно доступной информации из проведенной статистики — подобный недуг присутствует практически у 80% населения. Также, необходимо понимать, что заражение может произойти не только на родных зубах, но и на вставных протезах или вставной челюсти. В настоящее время выделяют несколько типов камней:
- Поддесневой — берущий свое начало под деснами, а также на шейке и гораздо глубже.
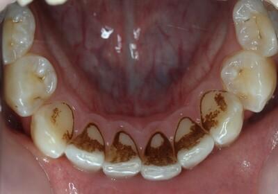
- Наддесневой — выделяется присущим ему покрытием эмали и нездоровым желтым оттенком.
- Каменный мост — поражает поверхность рядом посаженных объектов.
Почему появляется?

- Регулярное пережевывание пищевых продуктов, использую только одну сторону жевательного аппарата (подобное действие связывается специалистами с выработанной привычкой, неисправленным прикусом или запущенной стадией кариеса).
- Пренебрежение правилами личной гигиены.
- Прием в пищу в больше степени только мягкой пищи.
- Применение некачественных гигиенических инструментов и средств.
- Наследственный фактор.
- Сбои в функционирование обменных этапов, происходящих из-за того, что в слюнной жидкости содержится огромное число фосфатов.
- Неправильное месторасположение костных образований.
- Установка дешевых вставок.
Симптоматика заболевания
К характерным симптомам специалисты выделили такие показатели:
- Появление около шейки зуба тонкой обводки.
- Расширение зоны поражения.
- Кровоточивость десного отдела.
- Присутствие неприятного аромата из ротовой полости.
- Изменение цвета эмали.
- Возможно развитие гингивита.
- Болезненные ощущения.
Обследования во время зубного камня
Процедуры осмотра ротовой полости человека должны проходить своевременно. На приеме стоматолог может выявить различные заболевания, включая каменные новообразования. Для этого он использует специальные медицинские инструменты, к которым относится зонд-предмет. В случае осложнений могут назначить расширенную диагностику КТ челюсти.
Какую несет опасность?
Появление представленных ранее симптомов недуга, нельзя оставлять без внимания, так как зубной камень может принести серьезные проблемы. При пренебрежительном отношении к своему здоровью, больной может обзавестись такими последствиями:
- Кровоизлияния из десен.
- Резкий отталкивающий запах изо рта, не устраняющийся даже после чистки.
- Регулярные приступы зуда и жжения.
- Возникновение расшатанности.
- Воспалительные процессы.
- Цветовая коррекция.
- Появление кариеса и других видов болезней.
Литература
- Полянская Л.И. Побочные действия механического удаления зубного налета // Стоматол. журн. -2008.
- Федоров, Ю. А. Гигиена полости рта / Ю.А. Федоров. - М.: Медицина, 2016.

на МРТ/КТ* в Санкт-Петербурге