МРТ (магнитно-резонансная томография) почек
Обновлено и проверено 18.02.26

МРТ почек – это информативный и безопасный способ исследования, который помогает выявить заболевания на ранней стадии. В материале рассказано, кому назначают процедуру, как она проходит и в каких случаях требуется контраст.
Магнитно-резонансная томография почек в клиниках Санкт-Петербурга – это неинвазивный метод диагностики, который позволяет получить детализированные изображения мягких тканей, сосудов и паренхимы почек без использования ионизирующего излучения. В отличие от УЗИ и КТ, МРТ не требует рентгенконтрастных препаратов на основе йода и может использоваться в случаях, когда другие методы дают неполную картину. В Москве в 2025 году такая процедура доступна в государственных и частных клиниках, где применяются современные томографы с высоким разрешением. Несмотря на то, что метод высокотехнологичен и точен, его стоимость может существенно различаться в зависимости от формата обследования и условий проведения. Пациенты, которым рекомендована МРТ почек, всё чаще ищут объективную информацию не только о ценах, но и о целесообразности обследования, показаниях, точности результатов и возможных альтернативах.
На фоне роста хронических заболеваний почек, метаболических нарушений и онкологической настороженности метод магнитно-резонансной томографии приобретает особую значимость. Он используется не только для первичной диагностики, но и для контроля динамики заболевания, подготовки к операции или оценки последствий травм. Данный лонгрид поможет разобраться, в каких случаях МРТ почек действительно необходимо, что она показывает, как её назначают, а также какие аспекты влияют на организацию обследования и его информативность.
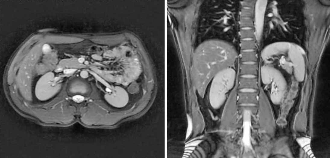
Что показывает МРТ почек

Магнитно-резонансная томография почек позволяет визуализировать внутреннюю структуру органа с высокой точностью. На снимках чётко различимы паренхима, чашечно-лоханочная система, окружающие ткани, а также почечные артерии и вены при необходимости проведения ангиографического исследования. МРТ особенно полезна при оценке мягкотканевых компонентов и выявлении патологий, которые не всегда заметны при других способах диагностики, таких как КТ или УЗИ.
С помощью МРТ можно обнаружить кисты, опухоли различного характера, признаки воспаления, изменения в структуре почечной паренхимы, рубцовые деформации и нарушения оттока мочи. Исследование подходит для выявления врождённых аномалий, оценки состояния трансплантированной почки, а также диагностики реноваскулярной гипертензии. Особенно важно использование контрастного вещества при подозрении на опухолевый процесс, так как оно позволяет отличить доброкачественное образование от злокачественного по типу накопления контраста и структуре новообразования.
Дополнительно МРТ даёт возможность оценить вовлечённость соседних структур в патологический процесс. Это актуально при онкологических заболеваниях, травмах, воспалениях с переходом на окружающие ткани. Также метод подходит для отслеживания динамики заболевания – например, при хроническом пиелонефрите или после хирургического вмешательства. Таким образом, МРТ почек – это не только способ выявления проблем, но и инструмент для мониторинга состояния здоровья пациента.
Показания к МРТ почек

Обследование почек с помощью магнитно-резонансной томографии назначается по строгим медицинским показаниям, особенно в тех случаях, когда другие методы визуализации не дали окончательной информации. Одним из основных поводов является подозрение на объемные образования: кисты, опухоли, метастатические очаги. Также МРТ назначают при сложностях в интерпретации результатов УЗИ или КТ, особенно если пациент имеет противопоказания к йодсодержащим контрастам или ранее перенёс аллергические реакции на них.
Ещё одно показание – подозрение на хронический или острый пиелонефрит, неясную боль в поясничной области, симптомы нарушения оттока мочи или ухудшение функции трансплантированной почки. МРТ эффективно выявляет рубцовые изменения после воспаления, локальные зоны ишемии, а также тромбозы или аневризмы почечных сосудов при выполнении МР-ангиографии. Исследование также может быть рекомендовано при подозрении на системные заболевания, поражающие почки, такие как волчанка, васкулиты, диабетическая нефропатия.
Кроме того, МРТ в медицинских ценрах СПб используется для оценки результатов оперативного лечения, определения границ новообразований перед хирургическим вмешательством и отслеживания динамики после удаления опухоли. Отдельным показанием выступает контроль за пациентами с ранее выявленными патологиями, когда требуется регулярное и безопасное наблюдение без лучевой нагрузки. МРТ почек занимает особое место в диагностике у детей, беременных (во 2-3 триместре) и пациентов с хроническими заболеваниями, где важна безопасность и точность исследования.
Противопоказания и ограничения
Несмотря на высокую безопасность магнитно-резонансной томографии, процедура имеет ряд противопоказаний, которые необходимо учитывать при назначении. Абсолютным противопоказанием считается наличие кардиостимуляторов, инсулиновых помп, кохлеарных имплантов и других электронных устройств, чувствительных к магнитному полю. Также МРТ не проводится пациентам с установленными ферромагнитными клипсами на сосудах головного мозга, осколками или металлическими инородными телами в теле, особенно в области глаз или головы.
Относительные противопоказания включают беременность в первом триместре, выраженную клаустрофобию, нестабильное психическое состояние, а также избыточный вес, превышающий допустимую нагрузку на стол аппарата. Некоторые современные томографы допускают пациентов массой до 150-180 кг, но это следует уточнять заранее. Также ограничения касаются возможности лежать неподвижно в течение 20-40 минут – при выраженных болях или неврологических нарушениях обследование может быть затруднено.
Применение контрастных веществ имеет свои дополнительные ограничения. Препараты на основе гадолиния не рекомендуется использовать при тяжёлой почечной недостаточности из-за риска редкого, но серьёзного осложнения – нефрогенного системного фиброза. В таких случаях исследование либо проводят без контраста, либо выбирают альтернативные методы диагностики. Перед введением контраста также исключаются аллергические реакции и оцениваются показатели функции почек, особенно у пожилых пациентов и лиц с хроническими заболеваниями.
С контрастом или без: когда применяется

МРТ почек в диагностических центрах Санкт-Петербурга проводят как без контраста, так и с его применением – выбор зависит от клинической задачи и предварительного диагноза. Бесконтрастная томография подходит для оценки анатомической структуры, выявления крупных кист, аномалий развития, расширения чашечно-лоханочной системы и других грубых изменений. В ряде случаев такой формат позволяет получить достаточную информацию без лишней нагрузки на организм, особенно у детей, пожилых людей или при наличии противопоказаний.
Контрастное усиление используется, когда необходимо уточнить характер новообразования, выявить воспалительный процесс, оценить перфузию тканей или провести сосудистую оценку. Препараты на основе гадолиния вводятся внутривенно и позволяют отличить злокачественные образования от доброкачественных за счёт их разного поведения на снимках. Также контраст необходим при подозрении на инфаркты почек, тромбозы сосудов и опухоли, прорастающие в соседние ткани.
Перед введением контраста проводится оценка функции почек – уровень креатинина и расчетная скорость клубочковой фильтрации. Это особенно важно для пациентов с диабетом, гипертонией или хроническими заболеваниями почек. В ряде клиник контраст вводят только после получения письменного согласия и проведённого анализа крови. Таким образом, решение о необходимости контраста всегда принимает врач, исходя из диагноза, анамнеза и предполагаемой пользы от углублённой визуализации.
Как проходит процедура МРТ почек

Процедура МРТ почек проходит в несколько этапов и требует минимальной подготовки от пациента. За сутки до исследования рекомендуется избегать продуктов, вызывающих метеоризм, особенно при планировании обследования с участием других органов брюшной полости. Если будет вводиться контраст, желательно прийти натощак – минимум за 4 часа до начала исследования. Также рекомендуется принести с собой результаты предыдущих анализов, заключения врачей и снимки, если они имеются.
Перед входом в кабинет пациент оставляет все металлические предметы, включая украшения, часы, съёмные зубные протезы и электронные устройства. После заполнения анкеты и, при необходимости, подписания информированного согласия, пациента укладывают на стол аппарата в горизонтальном положении. Тело фиксируют мягкими ремнями, чтобы исключить движения. Во время сканирования важно сохранять полную неподвижность – это напрямую влияет на качество изображения.
Сама процедура в клиниках СПб длится от 20 до 45 минут в зависимости от сложности исследования и наличия контраста. При обследовании с усилением сначала выполняется серия обычных снимков, затем вводится препарат и проводится повторное сканирование. Врач наблюдает за процессом через монитор, а при необходимости может общаться с пациентом через двустороннюю связь. После завершения обследования пациента просят подождать несколько минут – при хорошем самочувствии он может покинуть клинику. При применении контраста рекомендуется обильное питьё в течение следующих суток для ускоренного выведения вещества из организма.
Расшифровка результатов

После проведения МРТ почек снимки поступают врачу-рентгенологу, который занимается их детальной интерпретацией. Специалист анализирует изображения, оценивает форму, размер, симметричность органов, структуру паренхимы, состояние чашечно-лоханочной системы, сосудов и прилегающих тканей. При применении контрастного вещества проводится дополнительный анализ характера его накопления и распределения в различных зонах, что помогает отличить опухоли от воспалений или рубцовых изменений.
Заключение составляется в текстовой форме, где перечислены все обнаруженные особенности, их локализация и вероятный характер изменений. Рентгенолог может указать, требуется ли дополнительное исследование или консультация профильного специалиста. Как правило, результат выдают в течение 1-3 дней, но в некоторых клиниках предусмотрена срочная расшифровка в течение нескольких часов. В дополнение к бумажному или электронному заключению пациент может получить диск или флеш-носитель с изображениями.
Важно помнить, что описание МРТ – это не окончательный диагноз. Только лечащий врач, опираясь на анамнез, симптомы и результаты других анализов, может поставить точный диагноз и определить тактику лечения. Пациентам не стоит самостоятельно интерпретировать медицинские термины – при наличии сомнений лучше уточнить у профильного специалиста, например, у нефролога или уролога.
Отличие МРТ почек от других методов диагностики
МРТ почек отличается от других методов визуализации рядом принципиальных особенностей. В отличие от УЗИ, которое ограничено акустическими окнами и не всегда позволяет увидеть глубокие или скрытые образования, МРТ даёт более детализированную трёхмерную картину внутренних структур. Особенно это касается мягких тканей, сосудов и опухолей, которые могут оставаться незамеченными при обычном ультразвуковом исследовании.
Сравнивая МРТ и КТ, важно отметить, что компьютерная томография эффективна при оценке плотных структур и острых процессов, таких как камни, кровотечения, травмы. Однако она связана с воздействием ионизирующего излучения и обычно требует контраста на основе йода, что ограничивает её применение у пациентов с аллергией или почечной недостаточностью. МРТ же работает без рентгеновского излучения и может использоваться повторно без накопления радиационной нагрузки.
Дополнительным преимуществом МРТ является возможность проведения ангиографии без использования агрессивных контрастов, а также лучшая визуализация сложных патологий, включая воспалительные и онкологические процессы. Тем не менее, при острой почечной колике, подозрении на камень или срочной диагностике чаще выбирается КТ, как более быстрый и доступный метод. Таким образом, выбор метода зависит от задач исследования, противопоказаний и клинической ситуации.
Может ли МРТ почек выявить причины скрытой гипертонии

Одна из нередких задач, с которой пациенты СПб направляются на МРТ почек, – это выяснение причин стойкого или нестабильного повышения артериального давления. Особенно это касается молодых пациентов без выраженного атеросклероза или других общих факторов риска. В таких случаях врачи подозревают так называемую реноваскулярную гипертонию – состояние, при котором сужение или другие патологии почечных артерий приводят к активации ренин-ангиотензиновой системы и, как следствие, к подъёму давления.
МРТ позволяет выявить изменения в структуре сосудов и тканей почек, а при проведении МР-ангиографии – визуализировать анатомию почечных артерий и выявить их стеноз, тромбоз или аномальное строение. Такие изменения могут быть врождёнными или приобретёнными и требуют точной диагностики для определения дальнейшего лечения. Также метод выявляет вторичные признаки ишемии почек, например, атрофию паренхимы или участки рубцевания, которые тоже могут быть следствием нарушенного кровоснабжения.
В отличие от классической ангиографии, МР-ангиография проводится без катетера и не требует йодсодержащих веществ, что делает её предпочтительной у пациентов с ограниченной функцией почек. При этом исследование может стать ключевым в решении вопроса о назначении хирургического вмешательства, ангиопластики или медикаментозной коррекции. Таким образом, МРТ почек – не только способ оценки органов, но и мощный инструмент для выявления потенциальных причин вторичной гипертонии, которую невозможно обнаружить с помощью стандартных измерений давления или даже УЗИ.
Как МРТ помогает избежать биопсии

Во многих случаях магнитно-резонансная томография почек становится надёжной альтернативой инвазивным методам диагностики, включая биопсию. Это особенно актуально при обнаружении новообразований или подозрении на онкологический процесс, когда требуется как можно более точная оценка характера опухоли. Современные МРТ-аппараты позволяют не только визуализировать объём образования, но и проанализировать его структуру, границы, сосудистую сеть и поведение при введении контрастного вещества.
Если на МРТ видно, что опухоль имеет ровные контуры, чёткую капсулу, однородную внутреннюю структуру и не накапливает контраст или делает это по типу доброкачественного образования, врач может принять решение отказаться от биопсии. Это позволяет избежать лишнего вмешательства, сопровождающегося рисками кровотечения, инфицирования или осложнений. МРТ также помогает отличить кисты от солидных образований, воспалительные процессы от злокачественных, а также оценить степень вовлечённости окружающих тканей.
Тем не менее, в некоторых спорных или неоднозначных случаях биопсия остаётся необходимым этапом, особенно если на МРТ выявлены признаки агрессивного роста, нарушения сосудистой структуры или инфильтрации. Но в ряде случаев именно качественная магнитно-резонансная томография помогает врачам принять решение в пользу наблюдения вместо инвазивной диагностики. Это особенно важно у пожилых, ослабленных пациентов или при наличии противопоказаний к пункции.
Динамическое МРТ почек: когда повторяют исследование

МРТ почек может применяться не только для первичной диагностики, но и в качестве метода динамического наблюдения. Повторные исследования назначаются при выявлении патологий, требующих регулярной оценки состояния, а также после оперативного вмешательства или начала лечения. Например, при онкологических заболеваниях почек магнитно-резонансная томография позволяет отслеживать изменения размеров опухоли, появление новых очагов или реакцию на терапию без воздействия ионизирующего излучения.
Повторные МРТ могут проводиться с интервалом от 3 до 12 месяцев в зависимости от диагноза, стадии процесса и клинической ситуации. В случае хронического пиелонефрита, а также после операций, удаления опухоли или пересадки почки, МРТ помогает своевременно выявить возможные осложнения, рубцовые изменения, нарушение оттока мочи или ухудшение перфузии. Это особенно важно при отсутствии выраженной клинической симптоматики, когда болезнь может развиваться незаметно.
Контрольные исследования часто выполняются на одном и том же аппарате с использованием одинаковых протоколов, чтобы обеспечить максимальную сопоставимость данных. Важно понимать, что динамическое МРТ в клиниках Санкт-Петербурга – это не формальность, а ключ к безопасному и своевременному медицинскому решению. Оно позволяет не только диагностировать изменения, но и избежать ненужного вмешательства, если состояние остаётся стабильным.
Как выглядит нормальное МРТ почек

Пациенты, получившие на руки заключение МРТ, часто сталкиваются с непониманием используемых формулировок и терминов. Важно знать, как выглядит нормальная картина, чтобы не переживать из-за стандартных формулировок. В описании нормального МРТ почек обычно указывается, что органы расположены типично, имеют обычную форму и размеры, симметричны, паренхима равномерной структуры и интенсивности сигнала, без очаговых изменений. Также должно быть указано, что чашечно-лоханочная система не расширена, мочеточники не визуализируются – что в норме, если они не патологически изменены.
Фраза «патологических изменений не выявлено» или «МР-картина без особенностей» означает, что снимки не содержат признаков заболеваний. Если в заключении указано наличие физиологически расположенного жира, отдельных мелких кист до 2-3 мм, это, как правило, не считается патологией и не требует лечения. Отдельные фразы могут показаться тревожными, но они могут лишь указывать на индивидуальные анатомические особенности.
Важно помнить, что интерпретация даже нормального результата требует клинической оценки. Только врач, который направил на обследование, сможет соотнести полученные данные с жалобами и анамнезом. Однако знание того, как выглядит нормальное МРТ почек, позволяет пациенту чувствовать себя увереннее и не делать поспешных выводов при чтении заключения.
FAQ
Можно ли делать МРТ почек с клипсами на желчном пузыре?
Современные титановые клипсы, используемые при холецистэктомии, обычно являются немагнитными и не представляют опасности при МРТ. Однако важно сообщить рентгенологу о наличии любых металлических имплантов, особенно если операция проводилась давно и тип клипс неизвестен. Металлические клипсы могут создавать локальные артефакты на снимках, но при исследовании почек это влияние минимально. При наличии ферромагнитных клипс (старых моделей) МРТ может быть противопоказана.
Можно ли делать МРТ почек при острой почечной колике?
При острой почечной колике методом выбора чаще является КТ, так как оно выполняется быстрее (несколько минут) и лучше визуализирует камни любой плотности. МРТ при колике возможно, но имеет ограничения: длительность процедуры (20-40 минут) может быть сложна для пациента с интенсивной болью, а камни на МРТ видны хуже, чем на КТ. Кроме того, в остром состоянии трудно сохранять неподвижность. Поэтому при выраженном болевом синдроме КТ предпочтительнее. МРТ назначают после купирования приступа или при противопоказаниях к КТ.
Можно ли делать МРТ почек со стентом почечной артерии?
Современные стенты для почечных артерий изготавливаются из немагнитных материалов (сплавы нитинола, кобальт-хромовые сплавы) и являются МР-совместимыми. Однако металлическая конструкция стента может создавать локальные артефакты, затрудняющие визуализацию сосуда непосредственно в области стентирования. Перед процедурой необходимо предоставить документацию на стент (паспорт изделия) и сообщить о нем рентгенологу. Исследование возможно, но оценка проходимости стента может быть ограничена.
Почему после МРТ почек с контрастом слабость или головокружение?
Легкая слабость, головокружение или тошнота после МРТ с контрастом встречаются редко и обычно связаны либо с реакцией на введение препарата (транзиторное ощущение тепла, металлический привкус), либо с длительным пребыванием в неподвижном положении лежа на спине. Эти ощущения проходят самостоятельно в течение нескольких минут после процедуры. Для ускорения выведения контраста рекомендуется пить больше воды. Если слабость выражена, сохраняется более часа, сопровождается сыпью, зудом, отеком лица или затруднением дыхания, необходимо немедленно обратиться к врачу.
Список литературы
- Pruijm M., Mendichovszky I.A., Liss P., Van der Niepen P., Textor S.C., Lerman L.O., Krediet C.T.P., Caroli A., Burnier M., Prasad P.V. Renal blood oxygenation level-dependent magnetic resonance imaging to measure renal tissue oxygenation: a statement paper and systematic review. Nephrology Dialysis Transplantation. 2018;33(suppl_2):ii22–ii28. doi:10.1093/ndt/gfy243. PubMed.
- Odudu A., Nery F., Harteveld A.A., Evans R.G., Pendse D., Buchanan C.E., Francis S.T., Fernández-Seara M.A. Arterial spin labelling MRI to measure renal perfusion: a systematic review and statement paper. Nephrology Dialysis Transplantation. 2018;33(suppl_2):ii15–ii21. doi:10.1093/ndt/gfy180. PubMed.
- Wolf M., de Boer A., Sharma K., Boor P., Leiner T., Sunder-Plassmann G., Moser E., Caroli A., Jerome N.P. Magnetic resonance imaging T1- and T2-mapping to assess renal structure and function: a systematic review and statement paper. Nephrology Dialysis Transplantation. 2018;33(suppl_2):ii41–ii50. doi:10.1093/ndt/gfy198.
- American College of Radiology (ACR). ACR Manual on Contrast Media. American College of Radiology; 2025. URL: https://www.acr.org/Clinical-Resources/Clinical-Tools-and-Reference/Contrast-Manual (дата публикации на странице: обновления 2025).
- European Society of Urogenital Radiology (ESUR). ESUR Guidelines on Contrast Agents. Version 10.0. European Society of Urogenital Radiology; 2018. URL (PDF): https://adus-radiologie.ch/files/ESUR_Guidelines_10.0.pdf.
- Быков, А.Ю. «Лучевая диагностика заболеваний почек и мочевыводящих путей». – М.: МЕДпресс-информ, 2019.
- Ильченко, Л.Ю., Казанский, В.Б. «Магнитно-резонансная томография: руководство для врачей». – СПб.: СпецЛит, 2020.
- Wells, P.N.T. "Biomedical Ultrasonics and Imaging Techniques." – Cambridge University Press, 2013.
- Smithuis, R. "MRI of the Kidneys: Anatomic Details and Pathology." – Radiology Assistant, 2021.

на МРТ/КТ* в Санкт-Петербурге