МРТ (магнитно-резонансная томография) легких
Обновлено и проверено 23.11.25

МРТ лёгких – не такой частый, но очень ценный метод диагностики. В статье разберём, кому он подходит, что может показать и в каких случаях действительно эффективен.
МРТ лёгких в клиниках Санкт-Петербурга – это метод магнитно-резонансной томографии, направленный на получение подробных изображений структуры тканей грудной клетки без использования рентгеновского излучения. Хотя лёгкие, как полые органы, традиционно обследуются с помощью КТ и рентгена, МРТ постепенно находит своё место в диагностике благодаря способности оценивать мягкотканевые структуры, сосуды и патологические изменения вне самой лёгочной паренхимы. Метод особенно полезен для пациентов, которым противопоказана лучевая нагрузка, а также при необходимости многократного наблюдения за динамикой заболевания. Технология использует сильное магнитное поле и радиоволны, чтобы создавать срезы лёгочной области в разных проекциях, позволяя врачу получить целостное представление о происходящем внутри грудной клетки.
Когда назначают МРТ лёгких

Врач одного из диагностических отделений СПб может направить на МРТ грудной клетки, если требуется уточнение диагноза при неоднозначных результатах КТ, рентгена или УЗИ. Часто это делается в случае подозрения на мягкотканевые новообразования, инвазию опухоли в окружающие структуры, лимфаденопатию неясного генеза, а также при необходимости оценить сосудистые изменения. Одним из частых показаний становится постковидный синдром с сохранением симптомов без чёткой картины на других методах визуализации. Также метод полезен при анализе распространения метастазов, когда требуется оценить степень вовлечения плевры или диафрагмы.
Кроме того, МРТ применяется у пациентов с бронхиальной астмой, хроническими обструктивными заболеваниями лёгких или фиброзами, особенно если есть сложности с толерантностью к контрасту, применяемому в КТ. Отдельное направление – наблюдение за динамикой состояния после операций, лучевой или химиотерапии. Метод безопасен при необходимости многократных обследований, поскольку не оказывает лучевой нагрузки и не влияет на костный мозг. Также его назначают при подозрении на аномалии сосудов или врождённые патологии грудной полости у детей, когда требуется минимальное вмешательство в организм.
Не всегда МРТ является первым методом, но именно он позволяет дать ответы в сложных диагностических ситуациях. Особенно это актуально, когда врач подозревает распространение процесса за пределы лёгочной ткани или наличие изменений в нервных и сосудистых структурах, что невозможно адекватно оценить с помощью стандартного рентгена или даже КТ. Назначение обследования также может быть связано с необходимостью получить высококонтрастное изображение мягких тканей, чего не всегда удаётся достичь другими способами.
Что показывает МРТ лёгких

Магнитно-резонансная томография даёт возможность визуализировать не только лёгочную ткань, но и прилегающие структуры, что делает её особенно полезной при диагностике сложных случаев. С её помощью можно обнаружить опухоли, определить их точные границы и степень вовлечения соседних органов. Также МРТ позволяет выявить воспалительные процессы, участки фиброза, жидкости в плевральной полости, аномальные утолщения плевры и поражения лимфоузлов. Аппарат передаёт чёткое изображение мягких тканей, сосудистых разветвлений и бронхиального дерева, что важно при комплексной оценке состояния пациента.
Одно из преимуществ метода – возможность отличить старые рубцовые изменения от активного воспаления или опухолевого роста. Это особенно ценно в онкологической практике, где необходимо точное понимание степени распространённости процесса. Также МРТ может помочь при оценке постоперационных осложнений, таких как инфильтраты, гематомы или послеоперационные изменения в грудной полости. Для врачей важно видеть не только наличие изменений, но и их структуру: плотность, сигнал на разных режимах, границы и связь с окружающими тканями – всё это предоставляет именно МРТ.
При использовании контрастного усиления МРТ лёгких позволяет значительно расширить возможности визуализации: становится возможным более точно оценить кровоснабжение патологических очагов, отличить злокачественные новообразования от доброкачественных и проследить, как организм отвечает на лечение. Этот метод особенно полезен для мониторинга воспалительных изменений у пациентов, которым нежелательно часто проходить КТ. В результате МРТ выступает не как замена другим методам, а как самостоятельный инструмент, обладающий рядом специфических преимуществ при исследовании органов грудной клетки.
Преимущества и ограничения МРТ при исследовании лёгких
МРТ лёгких обладает рядом несомненных достоинств, особенно если речь идёт о ситуациях, когда необходимо избежать воздействия ионизирующего излучения. Метод безопасен для частого применения, что делает его особенно полезным для пациентов, нуждающихся в динамическом наблюдении. В отличие от КТ и рентгена, МРТ позволяет более точно визуализировать мягкотканевые структуры, сосудистые образования, лимфатические узлы и плевру. Он также незаменим при подозрении на опухолевые процессы с инвазией в окружающие органы, воспаления с вовлечением средостения или сосудистые изменения в грудной полости.
К достоинствам МРТ также относится высокая чувствительность к жидкостям. Это особенно важно при обнаружении плевральных выпотов, участков инфильтрации, кистозных образований и воспалительных изменений. Кроме того, процедура не требует применения контраста в каждом случае, так как в некоторых режимах без усиления можно получить информативные изображения. При необходимости контраст вводится на основе гадолиния, что снижает риск аллергических реакций по сравнению с йодсодержащими веществами, используемыми в КТ.
Однако у МРТ лёгких есть и ограничения. Главным из них считается низкая чувствительность к воздуху – из-за особенностей физики сигнала лёгочная паренхима плохо визуализируется. Это снижает информативность при исследовании, направленном исключительно на патологию в альвеолах. Метод также менее пригоден для диагностики острых состояний, таких как пневмоторакс, массивные кровотечения или эмболии, где требуется немедленное вмешательство. Ещё один фактор – длительность процедуры: пациенту нужно лежать неподвижно от 15 до 30 минут, что бывает затруднительно при выраженной одышке или болевом синдроме.
Противопоказания к проведению МРТ лёгких

МРТ в системе здравоохранения СПб и России, несмотря на свою высокую информативность, не может применяться без ограничений. К числу абсолютных противопоказаний относят наличие в организме электронных устройств, таких как кардиостимуляторы, нейростимуляторы, инсулиновые помпы и другие аппараты, функционирование которых может быть нарушено сильным магнитным полем. Ещё одним фактором, исключающим проведение процедуры, являются металлические элементы, установленные в теле пациента, если нет точной информации об их составе и совместимости с МРТ. В то же время существует категория имплантатов, официально разрешённых для использования при обследовании – в этих случаях МРТ может быть проведено при соблюдении определённых условий.
Относительными противопоказаниями считаются беременность в первом триместре, тяжёлые формы клаустрофобии и психические расстройства, при которых пациент не может оставаться неподвижным в замкнутом пространстве. В этих случаях допускается проведение МРТ под седацией или при использовании аппаратов открытого типа. У детей и пожилых людей также могут быть сложности, но они часто преодолеваются при наличии опытного персонала и правильной подготовки.
Контрастное усиление, хотя и считается безопасным, не рекомендовано пациентам с тяжёлой формой почечной недостаточности из-за риска нефрогенного системного фиброза. Поэтому перед введением контраста может потребоваться анализ на креатинин и оценка функции почек. Также противопоказанием может стать аллергия на компоненты препарата, ранее проявлявшаяся при других обследованиях. В случае необходимости обследования у таких пациентов врачи подбирают альтернативные методики визуализации или проводят диагностику без контраста.
Как подготовиться к МРТ лёгких

Подготовка к МРТ лёгких обычно не требует особых мероприятий, однако есть несколько правил, которые важно соблюдать для комфортного и безопасного прохождения процедуры. За несколько часов до обследования не рекомендуется употреблять тяжёлую пищу, особенно если планируется введение контрастного вещества. Оптимально – лёгкий приём пищи за 2-3 часа до начала. При обследовании с контрастом в ряде клиник могут попросить прийти натощак – это важно уточнить заранее. Также откажитесь от курения за 2-4 часа до процедуры.
Следует взять с собой направление от врача, медицинские документы, результаты предыдущих обследований (КТ, рентген, анализы), особенно если МРТ проводится в рамках динамического наблюдения. Также потребуется паспорт и полис, если диагностика выполняется по страховке. Одежда не должна содержать металлических деталей, поэтому лучше выбрать простую хлопковую майку или футболку без застёжек. Все металлические предметы (украшения, часы, телефоны, ключи) нужно будет оставить за пределами сканирующего помещения.
Если у пациента наблюдаются приступы тревоги или панические атаки, желательно сообщить об этом заранее: в ряде случаев допустим приём лёгкого седативного средства. Людям с одышкой или кашлем также нужно предупредить врача, чтобы время сканирования было минимально возможным. Для маленьких детей и пожилых пациентов подготовка может включать консультацию терапевта или анестезиолога. Важно помнить, что успех МРТ во многом зависит от неподвижности, поэтому всё, что способствует комфорту пациента, повышает точность диагностики.
МРТ лёгких с контрастом

Контраст в МРТ лёгких назначается тогда, когда требуется уточнить особенности кровоснабжения тканей, точно определить контуры подозрительных образований или оценить, насколько активно развивается воспаление. Для этой цели используют препараты на базе гадолиния, которые вводятся внутривенно либо до начала сканирования, либо в процессе съёмки. Такие контрастные вещества считаются безопасными и переносятся большинством пациентов хорошо, а риск побочных эффектов у них значительно ниже, чем у контрастов, содержащих йод.
Контраст особенно полезен при дифференциации доброкачественных и злокачественных опухолей. Он позволяет врачу понять, насколько активно опухоль снабжается кровью и есть ли признаки прорастания в окружающие ткани. При воспалениях контраст даёт возможность отличить свежие очаги от рубцовых изменений. Также препарат используется при подозрении на метастатическое поражение или вовлечение лимфатических узлов.
Решение о необходимости усиления принимает врач-рентгенолог или направивший специалист, исходя из клинической задачи. Пациенту может быть предложен предварительный анализ функции почек, особенно если есть хронические заболевания или возраст старше 65 лет. Сама процедура введения контраста безболезненна, возможен лишь кратковременный холод в месте инъекции. После сканирования рекомендуется пить воду, чтобы ускорить выведение препарата из организма.
Как проходит процедура

МРТ лёгких в центрах Санкт-Петербурга начинается с короткого инструктажа, во время которого пациенту объясняют, как будет проходить обследование и чего ожидать. После этого он располагается на подвижной кушетке, которую медленно перемещают внутрь аппарата. Тело фиксируется мягкими ремнями, чтобы свести к минимуму непроизвольные движения. Вся процедура длится от 15 до 40 минут в зависимости от необходимости введения контраста и сложности клинической задачи.
Во время проведения МРТ пациенту необходимо оставаться в неподвижном положении, чтобы изображения получились чёткими и информативными. Томограф издаёт громкие звуки, напоминающие удары или повторяющиеся щелчки – это нормальная часть его работы. Для комфорта можно воспользоваться берушами или наушниками, которые предоставляют в клинике. Общение с медицинским персоналом происходит через встроенную аудиосвязь: при возникновении тревоги или дискомфорта достаточно сообщить об этом, не покидая аппарат. В некоторых медицинских центрах предусмотрены дополнительные средства для расслабления – например, видеоэкраны или фоновая музыка во время обследования.
Если планируется проведение МРТ лёгких с контрастным усилением, препарат вводится внутривенно, чаще всего в область локтевого сгиба. Во время введения или в процессе исследования пациент может ощутить незначительное тепло или металлический привкус во рту – такие ощущения являются допустимыми и не представляют опасности. По завершении процедуры медицинский персонал помогает встать, при необходимости предлагает воду и наблюдает за самочувствием в течение нескольких минут. В большинстве случаев дополнительное восстановление не требуется, и человек может сразу вернуться к привычному ритму жизни, если лечащий врач не наложил индивидуальных ограничений на физическую активность.
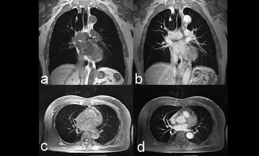
Интерпретация результатов
.jpg)
После завершения МРТ снимки передаются врачу-рентгенологу для анализа. Специалист оценивает структуру тканей, наличие патологических изменений, особенности контрастирования и пространственные взаимоотношения между органами грудной полости. Результаты оформляются в виде заключения, где кратко описаны выявленные особенности и даются рекомендации для лечащего врача.
Заключение обычно готовится в течение одного-двух рабочих дней, но при срочной необходимости некоторые клиники предоставляют экспресс-описание в течение нескольких часов. Оно может быть выдано на бумажном носителе, на диске, флешке или в виде электронного документа, доступного через личный кабинет. В некоторых случаях дополнительно прилагаются серии изображений с пометками врача.
Важно понимать, что интерпретация МРТ – это не окончательный диагноз, а часть комплексной диагностики. Заключение направляется лечащему врачу, который сопоставляет его с клинической картиной, анализами и другими методами обследования. Пациенту не следует самостоятельно интерпретировать фразы из описания, так как они могут быть профессионально специфичны. Правильное понимание данных МРТ возможно только при участии врача-специалиста.
Зачем смотреть лёгкие без рентгена
Многие привыкли считать, что лёгкие – это зона, где без рентгеновского излучения не обойтись. Однако в ряде клинических ситуаций именно МРТ оказывается предпочтительнее. Прежде всего, это касается пациентов, которым противопоказана лучевая нагрузка, например, беременным женщинам, детям или тем, кто уже прошёл несколько курсов радиологических обследований. Кроме того, МРТ позволяет изучить не только воздушные пространства, но и окружающие ткани, что особенно важно при подозрении на онкологический процесс, вовлечение сосудов, поражение лимфоузлов и мягких тканей.
МРТ лёгких выходит на первый план, когда задача врача выходит за рамки оценки только альвеол или очаговых изменений. Например, если необходимо оценить, распространилась ли опухоль на стенку грудной клетки, есть ли поражения диафрагмы или атипичные образования в плевре. Также томография используется при диагностике сосудистых патологий, включая тромбозы или редкие врождённые аномалии, для которых рентгеновские методы недостаточно чувствительны. МРТ становится незаменимым, когда нужна высокая детализация без риска накопления дозы радиации.
Как томограф видит лёгкие, наполненные воздухом

Особенность лёгких как органа – их наполнение воздухом, которое плохо поддаётся визуализации при помощи магнитно-резонансной томографии. Воздух не даёт отклика на магнитное поле, поэтому классические снимки МРТ не демонстрируют внутреннюю структуру альвеолярной ткани так же чётко, как это делает КТ. Однако благодаря использованию специальных режимов сканирования и высокочувствительных последовательностей, современные аппараты МРТ позволяют частично компенсировать это ограничение.
Наибольшую информативность МРТ показывает при исследовании мягкотканевых структур, расположенных рядом с лёгкими. Это плевра, бронхи, сосуды, лимфоузлы, диафрагма и элементы средостения. В некоторых случаях удаётся визуализировать даже крупные участки патологии в лёгочной ткани – инфильтраты, фиброз, участки ателектаза, особенно если они граничат с плеврой или сосудами. Аппараты высокого поля (1.5Т и 3Т) дают более чёткие изображения и применяются в сложных диагностических ситуациях, когда необходимо оценить не только саму лёгочную ткань, но и реакцию окружающих структур.
Таким образом, МРТ "видит" лёгкие иначе, чем рентген или КТ. Он не показывает каждую альвеолу, но способен дать ответ на те вопросы, которые остаются неясными после других обследований. Это делает его важным дополнением в арсенале современной пульмонологической и онкологической диагностики.
Когда МРТ помогает курильщикам и после COVID

У пациентов с длительным стажем курения или перенесших тяжёлую форму COVID-19 лёгкие часто претерпевают изменения, которые не всегда можно адекватно оценить при помощи стандартных методов. На фоне хронического воспаления, фиброза или нарушений микроциркуляции появляются состояния, требующие детального изучения. В этих случаях МРТ становится важным инструментом для уточнения характера повреждений, особенно если необходимо избежать лишней лучевой нагрузки при повторных обследованиях.
У курильщиков томография помогает определить не только участки уплотнений и фиброзных изменений, но и признаки начинающегося злокачественного процесса – особенно при подозрении на рак верхушек лёгкого, распространяющийся за пределы паренхимы. Также МРТ показывает степень вовлечения сосудов и плевры, что критично при планировании лечения. У пациентов после COVID-19 с длительно сохраняющейся одышкой, кашлем или ощущением нехватки воздуха МРТ помогает исключить скрытые воспалительные изменения, участки неразрешившегося инфильтрата или нарушения сосудистого характера.
МРТ особенно полезна для контроля в динамике, когда КТ уже было проведено и врачам нужно понять, есть ли регресс или осложнения. Возможность проводить исследование в центрах Санкт-Петербурга без риска облучения делает этот метод разумным выбором для длительного наблюдения, особенно у пациентов с высоким риском хронических заболеваний дыхательной системы. В результате МРТ становится не просто заменой, а логичным шагом в продуманной диагностике лёгочных патологий у уязвимых категорий пациентов.
Как проходит МРТ, если задыхаешься или кашляешь

Пациенты с заболеваниями лёгких часто сталкиваются с трудностью прохождения МРТ: лежать неподвижно 20-30 минут при одышке, кашле или болях бывает непросто. Однако медицинские центры учитывают особенности таких состояний и адаптируют процедуру под потребности конкретного человека. Перед началом обследования врач уточняет самочувствие пациента, наличие хронических симптомов и уровень комфорта при горизонтальном положении. При необходимости предоставляются специальные подушки под спину и шею, доступ к кислороду или даже возможность сделать паузу между сериями сканирования.
Если кашель носит постоянный характер, пациенту могут порекомендовать предварительный приём назначенных препаратов, снимающих раздражение дыхательных путей. Также допустимо проведение исследования с короткими интервалами, во время которых можно немного подвигаться. В тяжёлых случаях, например при панических атаках или выраженной дыхательной недостаточности, возможно применение лёгкой седации под контролем врача. Центры с аппаратами открытого типа – ещё один выход для тех, кому сложно переносить замкнутое пространство. Главное – сообщить о проблеме заранее, чтобы команда подготовила обследование с учётом состояния пациента.
Когда "ничего не видно" – это тоже диагноз

Иногда результат МРТ лёгких вызывает у пациентов удивление: "ничего не нашли" звучит как будто впустую потраченные деньги и время. Но в действительности такое заключение – не повод для разочарования, а важный диагностический факт. Отсутствие патологических изменений исключает множество тревожных диагнозов: от опухоли и воспаления до тромбоза и плеврита. Особенно значимо это в случаях, когда симптомы неспецифичны, а другие методы не дали определённого ответа.
МРТ позволяет увидеть те структуры, которые не затронуты заболеванием, и тем самым уточнить область, требующую дальнейшего поиска. Например, если пациент жалуется на боль в грудной клетке, а МРТ не выявляет ни инфильтрации, ни утолщения плевры, внимание смещается в сторону неврологических или мышечных причин. Таким образом, даже "чистая" картина на снимках – это не пустота, а подтверждение отсутствия серьёзных органических изменений, позволяющее строить дальнейшую тактику лечения более точно.
Мифы о МРТ лёгких: действительно ли ничего не видно?

Среди пациентов и даже некоторых врачей существует мнение, что МРТ лёгких – бесполезная процедура, так как "воздух не видно". Это заблуждение основано на частичном понимании принципов метода. Действительно, альвеолярную структуру лёгких визуализировать с такой же чёткостью, как при КТ, невозможно. Однако это не значит, что МРТ не даёт ценную информацию. Метод прекрасно показывает плевру, бронхи, лимфатические узлы, сосуды, а также все мягкие ткани вокруг лёгочной паренхимы.
Другой миф связан с тем, что МРТ – слишком "мягкий" метод и не годится для онкологии. На практике именно он позволяет выявить распространение опухоли за пределы лёгочной ткани, прорастание в стенку грудной клетки или поражение сосудов. Также метод подходит для отслеживания остаточных изменений после воспалений, включая фиброз и изменения в лимфоузлах. К тому же, новые режимы съёмки и высокопольные аппараты расширили границы визуализации лёгких, особенно в зонах, прилегающих к плевре и диафрагме.
Таким образом, МРТ лёгких – не универсальный, но полезный инструмент. Его задача не заменять рентген или КТ, а дополнять их, когда требуется более глубокая оценка мягкотканевых изменений, сосудистой анатомии или распространения процессов за пределы лёгочной ткани. И если метод выбран правильно, он даст ответы, которых не найти больше нигде.
Как сэкономить, не потеряв в качестве обследования
Получить достоверное МРТ лёгких в Санкт-Петербурге и при этом не переплатить – вполне реально, если подойти к выбору клиники осознанно. Один из способов – воспользоваться сервисом mrt-vspb, который агрегирует предложения от десятков диагностических центров СПб. Через такую платформу можно сравнить цены на МРТ легких, выбрать удобное время, уточнить, есть ли аппарат нужной мощности и какие услуги уже включены в стоимость. Часто через сервис доступны специальные акции и скидки, а запись занимает всего несколько минут.
Экономия достигается не за счёт качества, а за счёт оптимизации – пациент сразу видит, где обследование обойдётся дешевле при аналогичном уровне техники и опыта персонала. Особенно это удобно для тех, кто ищет срочный приём или комплексное обследование, включая МРТ с контрастом. При этом всегда важно уточнить, входит ли в цену расшифровка, копии снимков и консультация специалиста.
Источники
- Ohno Y., Ozawa Y., Koyama H., et al. State of the Art MR Imaging for Lung Cancer TNM Stage Evaluation. Cancers (Basel). 2023;15(3):950. DOI:10.3390/cancers15030950. PubMed.
- Tanaka Y., Ohno Y., Hanamatsu S., et al. State-of-the-art MR Imaging for Thoracic Diseases. Magnetic Resonance in Medical Sciences. 2022;21(1):212–234. DOI:10.2463/mrms.rev.2020-0184.
- World Health Organization. Lung cancer: fact sheet. 26 June 2023. URL: https://www.who.int/news-room/fact-sheets/detail/lung-cancer. Всемирная организация здравоохранения.
- Biederer J., Mirsadraee S., Beer M., et al. MRI of the lung (3/3): current applications and future perspectives. Insights into Imaging. 2012;3(4):373–386. DOI:10.1007/s13244-011-0142-z. PubMed.
- Koyama H., Ohno Y., Seki S., et al. Magnetic resonance imaging for lung cancer. Journal of Thoracic Imaging. 2013;28(3):138–150. DOI:10.1097/RTI.0b013e31828d4234
- Гершензон Н.И., Белов Ю.В. «Лучевая диагностика заболеваний органов дыхания». М.: ГЭОТАР-Медиа, 2020.
- Прокоп М., Грайнер П. «МРТ и КТ в диагностике заболеваний грудной клетки». Пер. с англ. М.: Практика, 2019.
- Семенов А.В., Костина А.А. «Применение МРТ в торакальной радиологии». Журнал "Радиология – практика", №4, 2021.
- Kalra M.K., Sodickson A.D., Mayo-Smith W.W. "Imaging of the Chest: A Practical Guide", Springer, 2019.

на МРТ/КТ* в Санкт-Петербурге