МРТ (магнитно-резонансная томография) гипофиза
Обновлено и проверено 15.02.26

МРТ гипофиза – это не просто снимок мозга, а ключ к пониманию многих скрытых симптомов: от лишнего веса до нарушений цикла. Разбираем, когда нужно пройти исследование, как к нему подготовиться и что могут показать результаты.
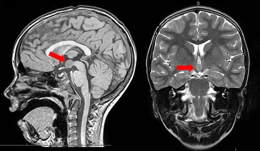
Гипофиз – это крошечная железа, расположенная в основании головного мозга, которая играет ключевую роль в регуляции большинства гормональных процессов в организме. Он управляет работой щитовидной железы, надпочечников, половых желез, а также контролирует рост, обмен веществ и водно-солевой баланс. Несмотря на свои небольшие размеры, любые изменения в его структуре могут повлиять на общее состояние здоровья и вызвать серьёзные сбои в работе внутренних органов. Магнитно-резонансная томография гипофиза в клиниках Санкт-Петербурга позволяет получить максимально точное изображение железы, оценить ее размеры, форму, контуры и внутреннюю структуру, а также обнаружить даже незначительные отклонения. МРТ гипофиза назначается при наличии подозрений на гормональные нарушения, опухолевые процессы, нарушениях зрения и других симптомах, связанных с патологией этой железы.
Что показывает МРТ гипофиза

Магнитно-резонансная томография гипофиза – это метод, который позволяет с высокой точностью визуализировать анатомию железы, прилегающих тканей и окружающих структур. На снимках хорошо различимы очертания, его симметричность, однородность, толщина ножки, а также наличие даже минимальных изменений, таких как микроаденомы, кисты, воспалительные участки или следы перенесённых травм. Особенно важным преимуществом является возможность оценки взаимодействия опухолевых или воспалительных процессов с близлежащими структурами – зрительными нервами, гипоталамусом, стенками турецкого седла.
Технология позволяет выявить очаги, которые ещё не вызывают выраженных симптомов, но уже начали нарушать функцию железы. С её помощью диагностируются как гормонально неактивные образования, так и опухоли, вырабатывающие избыток пролактина, гормона роста или адренокортикотропного гормона. Кроме того, при помощи контрастного усиления можно чётко определить границы новообразований, их сосудистую активность и степень прорастания в окружающие ткани. Это особенно важно при планировании хирургического вмешательства или при оценке динамики после проведённого лечения.
Показания к назначению

Существует ряд клинических ситуаций, при которых врачи СПб может рекомендовать проведение МРТ гипофиза. В первую очередь это касается подозрений на опухоли, в том числе пролактиномы, аденомы или другие доброкачественные и злокачественные образования, влияющие на выработку гормонов. Поводом для исследования может стать резкое нарушение менструального цикла, бесплодие, снижение либидо, необъяснимый набор или потеря веса, а также внезапное изменение внешности, связанное с повышением уровня гормона роста или кортизола.
Томограмма также назначается пациентам с жалобами на прогрессирующее ухудшение зрения, особенно если при осмотре выявлены признаки сдавления зрительных нервов. При частых головных болях, которые не поддаются лечению и сопровождаются симптомами дисфункции эндокринной системы, врач может заподозрить гипофизарную патологию. Дополнительными показаниями служат низкий уровень гормонов при нормальной функции периферических желез, галакторея у женщин вне периода лактации, снижение роста у детей, а также наблюдение за состоянием после удаления опухоли или проведения лучевой терапии.
Противопоказания и ограничения
Несмотря на высокую безопасность, МРТ гипофиза имеет определённые противопоказания, которые важно учитывать до назначения исследования. Абсолютным ограничением считается наличие кардиостимулятора, поскольку магнитное поле может нарушить его работу. Также процедуру не проводят пациентам с имплантированными слуховыми аппаратами, металлическими элементами в теле, особенно если их происхождение и состав точно не известны. Исключением являются современные устройства, сертифицированные как совместимые с МРТ – в таких случаях обследование возможно при соблюдении специальных условий.
Относительными противопоказаниями являются беременность в первом триместре, тяжёлые формы клаустрофобии и невозможность пациента сохранять неподвижность в течение обследования. При необходимости проведения процедуры людям с выраженным страхом замкнутого пространства может быть предложена седация или обследование на открытом томографе. Пациентам с нарушениями функции почек требуется особая осторожность при использовании контрастных препаратов, поскольку они выводятся именно почками и могут вызывать осложнения при сниженной фильтрации.
Подготовка к МРТ гипофиза
Специальная подготовка к стандартной димагностике не требуется. Однако при планировании исследования с контрастным усилением врач может рекомендовать заранее сдать анализ крови на креатинин для оценки работы почек. Это особенно важно для пациентов с хроническими заболеваниями, диабетом, артериальной гипертензией или возрастом старше 60 лет. В день процедуры желательно отказаться от кофе, жирной пищи и алкоголя, так как они могут влиять на сосудистый тонус и общее самочувствие.
Пациенту стоит взять с собой направление врача, результаты предыдущих обследований (если они есть), а также документы, подтверждающие наличие имплантов или медицинских устройств. Металлические украшения, съёмные зубные протезы, очки и аксессуары необходимо снять до начала процедуры. Важно заранее сообщить персоналу о наличии аллергических реакций, особенно если планируется контрастное исследование. В целом, подготовка занимает минимум времени, но соблюдение этих рекомендаций помогает обеспечить безопасность и точность результата.
Как проходит процедура

МРТ гипофиза любого из диагностических отделений Санкт-Петербурга проводится в специально оборудованном кабинете, где установлен томограф с мощным магнитным полем. Пациента укладывают на подвижный стол в горизонтальное положение. Для обследования голова фиксируется в специальной рамке, чтобы избежать даже минимальных движений. При необходимости используется мягкая подкладка или валик под шею для дополнительного комфорта. Аппарат издаёт ритмичные звуки, похожие на стук или жужжание, поэтому пациенту могут предложить наушники или беруши.
Процедура длится от 20 до 40 минут в зависимости от программы исследования. Важно сохранять неподвижность всё это время, чтобы избежать искажений на снимках. Если используется контрастное вещество, сначала выполняется серия стандартных изображений, а затем через венозный катетер вводится препарат, после чего сканирование продолжается. Врачи и технический персонал наблюдают за состоянием пациента через стекло и могут общаться с ним по двусторонней связи. После завершения процедуры пациента информируют о том, когда будут готовы результаты и требуется ли дальнейшая консультация специалиста.
МРТ гипофиза с контрастом

Контрастное усиление врачами СПб применяется в тех случаях, когда необходимо более чётко визуализировать структуру тканей, сосудистую сеть и выявить образования, которые трудно различить без дополнительного усиления сигнала. Контрастное вещество вводится внутривенно, обычно сразу после первых сканов, и позволяет оценить динамику накопления препарата в тканях. Это особенно важно для диагностики микроаденом, которые могут быть гормонально активными, но при этом практически не заметными без усиления контрастности изображения.
Контраст помогает отличить воспалительные очаги от опухолевых процессов, определить границы патологических изменений и выявить признаки прорастания в соседние структуры. Особенно это актуально при наблюдении за ранее диагностированными новообразованиями – контраст даёт возможность оценить рост, сосудистую активность и реакцию на лечение. Перед проведением такого исследования обязательно оценивается функция почек, чтобы исключить риски, связанные с выведением контраста из организма. Обычно процедура переносится легко, но пациенту заранее сообщают о возможных ощущениях – лёгком тепле по телу или металлическом привкусе во рту.
Расшифровка и интерпретация снимков

Полученные изображения анализируются врачом-рентгенологом, имеющим опыт в нейрорадиологии. Он оценивает размеры гипофиза, его форму, контуры, плотность ткани, однородность сигнала, наличие очагов, уплотнений, кист или опухолей. Внимание также уделяется состоянию ножки железы, симметрии расположения, изменениям в турецком седле и степени давления на окружающие структуры, включая зрительный перекрёст. При необходимости в заключении указывается предполагаемая природа выявленного образования и даются рекомендации по дальнейшему обследованию.
Заключение оформляется в письменном виде и может сопровождаться электронными снимками на диске, флешке или через личный кабинет пациента на сайте клиники. Важно понимать, что рентгенологическое заключение – это не диагноз, а описание увиденного на снимках. Окончательная клиническая оценка должна проводиться лечащим врачом с учётом всех лабораторных и инструментальных данных. Иногда рентгенолог может предложить повторное наблюдение через определённый срок или уточняющую диагностику, например, с контрастом или в динамике после лечения.
Что делать после получения результатов МРТ гипофиза

После того как пациент получает заключение, следующим шагом становится обращение к врачу, который направлял на обследование. Чаще всего это эндокринолог, реже – невролог, офтальмолог или терапевт. На приёме врач интерпретирует результаты в контексте общего состояния, симптомов и уже проведённых анализов. В зависимости от заключения может быть назначено гормональное обследование, дополнительная визуализация, консультация нейрохирурга или наблюдение в динамике. Если обнаружено новообразование, важно определить его тип – гормонопродуцирующий или нет, доброкачественный или требующий оперативного вмешательства.
В некоторых случаях, когда данные не дают полного понимания ситуации, врач может назначить повторную томографию через несколько месяцев или использовать КТ в качестве дополнительного метода. Также может потребоваться исследование гипоталамо-гипофизарной системы в целом. Даже если патологий не выявлено, сам факт нормального МРТ даёт врачу возможность исключить опасные состояния и сосредоточиться на других причинах жалоб пациента. Полученные данные важно сохранить – они пригодятся при последующем наблюдении или обращении в другую медицинскую организацию.
Часто выявляемые патологии
МРТ гипофиза позволяет обнаружить широкий спектр отклонений, часть из которых может протекать бессимптомно на ранних стадиях. Одной из наиболее частых находок становятся аденомы – доброкачественные опухоли, которые подразделяются на микроаденомы (до 10 мм) и макроаденомы (свыше 10 мм). Некоторые из них активно вырабатывают гормоны, приводя к таким состояниям, как пролактинома, акромегалия или болезнь Иценко-Кушинга. Другие не продуцируют гормоны, но могут оказывать давление на зрительные пути и другие структуры мозга.
Помимо аденом, на снимках нередко выявляются кисты, врождённые аномалии строения, участки воспаления или последствия перенесённых травм. Иногда фиксируются изменения в турецком седле, расширение гипофизарной ножки или признаки компрессии зрительного перекрёста. В ряде случаев томограмма обнаруживает отдалённые признаки метастатических процессов, затрагивающих область железы. Также возможна визуализация пустого турецкого седла – анатомической особенности, при которой гипофиз выглядит уменьшенным или сдавленным, что требует исключения функциональных нарушений.
Альтернативные методы диагностики

Несмотря на высокую точность МР-томографии, в ряде случаев применяются и другие диагностические подходы. Компьютерная томография может быть полезной, если необходимо оценить состояние костных структур черепа, особенно при травмах или подозрении на разрушение стенок турецкого седла. Однако КТ уступает МРТ по информативности при оценке мягких тканей и мелких очаговых изменений. В некоторых ситуациях применяются ангиографические методы для изучения сосудистого компонента, особенно если предполагается сосудистая патология или опухоль с высоким кровоснабжением.
Кроме визуализации, в клиниках Санкт-Петербурга до сих пор важную роль играют лабораторные методы. Анализы на гормоны позволяют оценить функцию, определить наличие гипер- или гипофункции и заподозрить наличие активных опухолей. УЗИ эндокринных желез, таких как щитовидная или надпочечники, может служить дополнительным этапом комплексного обследования. В случае сложных клинических случаев применяется ПЭТ-КТ, особенно если необходимо оценить метаболическую активность подозрительных участков. Но именно МРТ остаётся основным методом при детальном изучении железы благодаря своей точности, безопасности и способности к многоуровневой визуализации.
Почему важно не откладывать МРТ гипофиза

Задержка с диагностикой гипофизарных нарушений может привести к серьёзным последствиям. Этот небольшой орган регулирует работу всех главных желез внутренней секреции, а значит, сбои в его деятельности сказываются на всем организме. При наличии опухоли или воспалительного процесса, прогрессирование без своевременного вмешательства может вызвать нарушение зрения, развитие необратимых изменений в гормональном фоне, снижение когнитивных функций и ухудшение общего состояния. Особенно важно не откладывать обследование при наличии таких симптомов, как изменения массы тела без видимых причин, нарушения менструального цикла, снижение либидо, головные боли и ухудшение зрения.
Ранняя диагностика позволяет вовремя начать лечение, будь то медикаментозная коррекция, наблюдение или хирургическое вмешательство. При этом даже при обнаружении новообразования на ранней стадии прогноз зачастую благоприятен, особенно если оно не обладает агрессивным ростом. Кроме того, МРТ даёт возможность отследить динамику и понять, насколько эффективна проводимая терапия. Чем раньше выявлена причина симптомов, тем проще предотвратить осложнения и восстановить качество жизни. Поэтому при малейших сомнениях стоит обсудить с врачом возможность сканирования и не тянуть с обследованием.
Научно подтверждённые факты и актуальные клинические рекомендации
МРТ гипофиза признана в клинической практике одним из наиболее информативных и безопасных методов оценки состояния гипофизарно-гипоталамической области. Исследование входит в международные стандарты диагностики при подозрении на эндокринные нарушения, опухоли центральной нервной системы и патологии зрительных путей. Согласно актуальным рекомендациям Европейского общества эндокринологов и национальных протоколов, МРТ выполняется как при первичной диагностике, так и для мониторинга уже выявленных патологий. Использование высокопольных томографов мощностью от 1.5 Тесла позволяет выявить даже минимальные структурные изменения, включая микроаденомы размером менее 3 мм.
Клинические данные подтверждают, что своевременное выявление и наблюдение за доброкачественными опухолями позволяет избежать тяжёлых гормональных дисфункций и неврологических осложнений. Кроме того, МР-томограмма активно используется для оценки эффективности медикаментозной терапии и контроля после нейрохирургических вмешательств. Важно, что метод не несёт лучевой нагрузки и может быть применён многократно при необходимости наблюдения в динамике. В контексте доказательной медицины этот метод остаётся золотым стандартом визуализации данной области мозга.
МРТ гипофиза у подростков

Диагностика в подростковом возрасте требует особого подхода, так как в этот период происходят активные гормональные и анатомические изменения. Рост железы может быть физиологически усилен в рамках полового созревания, и не всегда небольшое увеличение размеров является признаком патологии. Поэтому крайне важно, чтобы интерпретацией снимков занимался специалист, знакомый с возрастными нормами. Например, временная гиперплазия железы у девочек в пубертате может быть нормой, тогда как у мальчиков аналогичное состояние требует более тщательной оценки.
Показаниями для подростков становятся выраженные отклонения в росте, задержка или преждевременное половое развитие, резкие колебания массы тела, угревая болезнь вне возрастной нормы, а также головные боли и зрительные нарушения. При этом исследование может подтвердить наличие врождённых аномалий, кист или опухолей, способных влиять на функцию эндокринной системы. Современные методы сканирования позволяют получить высокодетализированные изображения, которые помогают отличить временные возрастные изменения от реальной патологии. Это даёт возможность начать коррекцию на раннем этапе и предотвратить осложнения в будущем.
МРТ гипофиза и бесплодие

Железа играет ключевую роль в регуляции репродуктивной функции, вырабатывая гормоны, влияющие на овуляцию, сперматогенез и уровень половых гормонов. Любые нарушения в его работе, особенно вызванные опухолевыми образованиями, могут напрямую затронуть фертильность как у женщин, так и у мужчин. МРТ в таких случаях помогает установить причину гормонального дисбаланса, например, выявить пролактиному – опухоль, которая может вызывать аменорею, галакторею, снижение либидо и отсутствие овуляции.
Для мужчин МР-томография может быть показана при снижении уровня тестостерона, нарушениях потенции и других признаках гипогонадизма. Кроме того, гипофиз контролирует выработку фолликулостимулирующего и лютеинизирующего гормонов, без которых невозможна полноценная работа яичников и семенников. После получения данных врач может назначить лечение, направленное на восстановление гормонального фона, и в ряде случаев – добиться восстановления репродуктивной функции без необходимости ЭКО или других инвазивных методов. Таким образом, МРТ становится важным звеном в диагностике причин бесплодия и подборе индивидуальной терапии.
Почему иногда нужна повторная МРТ гипофиза

Повторное проведение требуется в нескольких клинических ситуациях. Наиболее частая причина – необходимость наблюдения в динамике при выявлении микроаденомы или других новообразований, размеры которых не позволяют с уверенностью судить об их характере с одного исследования. Врач может рекомендовать повторную томографию через 3-6 месяцев, чтобы оценить, увеличивается ли образование, как оно влияет на прилегающие структуры и появляются ли новые признаки патологического процесса. Также повторное сканирование используется для оценки эффективности лечения – как медикаментозного, так и хирургического.
В некоторых случаях первая томограмма может не дать полной картины из-за артефактов, низкого качества изображений или отсутствия контрастного усиления, которое необходимо для точной дифференцировки тканей. Повторное исследование с улучшенной техникой или на томографе с большей мощностью помогает устранить диагностические сомнения. Кроме того, у пациентов с гормональными нарушениями без чётко определённой причины, негативной динамикой лабораторных показателей или новой симптоматикой может быть назначена вторая диагностика для подтверждения или исключения гипофизарной патологии. Регулярный контроль позволяет минимизировать риски и принять решение о своевременном вмешательстве.
Гипофиз у пожилых: норма или возрастная перестройка

С возрастом структура и функция железы постепенно изменяются, что может отражаться на результатах. У пожилых людей часто фиксируется уменьшение объёма железы, уплощение её формы и снижение интенсивности сигнала, что связано с естественным угасанием гормональной активности. Эти особенности считаются вариантом нормы и не требуют лечения, если отсутствуют клинические симптомы. Однако важно отличать возрастные изменения от патологий, таких как опухоли, инфаркты гипофиза или атрофические процессы, вызванные системными заболеваниями.
МРТ у пожилых пациентов Санкт-Петербурга чаще всего назначается при подозрении на гормональные сбои, ухудшение памяти, нестабильность артериального давления, снижение либидо, потерю веса или зрения. Также исследование необходимо при наличии сопутствующих эндокринных заболеваний, таких как сахарный диабет, гипотиреоз или синдром недостаточности надпочечников. Грамотная интерпретация сканов у возрастной категории требует учёта индивидуальных анатомических особенностей, а также общего состояния здоровья пациента. Благодаря точности метода можно отличить норму от начальных проявлений болезни и принять меры заблаговременно.
Связь гипофиза с лишним весом и утомляемостью

Нарушения в работе этой железы могут стать скрытой причиной набора веса, хронической усталости и снижения общего тонуса организма. Эта железа управляет выработкой ключевых гормонов, включая тиреотропный, адренокортикотропный и гормон роста, которые напрямую влияют на метаболизм, уровень энергии и регуляцию массы тела. Например, снижение продукции тиреотропного гормона может приводить к гипотиреозу – состоянию, сопровождающемуся замедлением обменных процессов, прибавкой в весе и общей вялостью. Подобная клиническая картина часто встречается у пациентов с микроаденомами или функциональной гипоплазией гипофиза.
Также дефицит адренокортикотропного гормона отражается на способности организма справляться со стрессом, что может вызывать не только утомляемость, но и эмоциональную нестабильность. У мужчин снижение лютеинизирующего гормона может влиять на уровень тестостерона, а у женщин – на регулярность менструального цикла. МРТ помогает определить, имеются ли анатомические основания для таких симптомов, выявляя опухоли, кисты или структурные изменения. При своевременном обследовании и правильной гормональной коррекции самочувствие пациента может существенно улучшиться без радикальных вмешательств.
FAQ
Как часто можно делать МРТ гипофиза для контроля микроаденомы?
Частота контрольных МРТ гипофиза определяется эндокринологом индивидуально. При стабильной микроаденоме без признаков роста и гормональной активности исследование проводят 1 раз в 12–24 месяца. При нестабильном течении, активном росте или после операции контроль может назначаться каждые 3–6 месяцев. МРТ не несет лучевой нагрузки, поэтому кратность исследований определяется только клинической необходимостью, а не радиационными ограничениями.
Нужно ли отменять гормональные препараты перед МРТ гипофиза?
Решение об отмене гормональных препаратов перед МРТ гипофиза принимает лечащий врач-эндокринолог. В большинстве случаев отмена не требуется, так как исследование оценивает анатомическую структуру, а не функциональное состояние железы. Однако при некоторых видах контрастирования или для уточнения динамики на фоне лечения могут быть даны индивидуальные рекомендации. Самостоятельно прекращать прием назначенных гормонов категорически запрещено.
Может ли МРТ гипофиза показать причину головных болей, если нет опухоли?
Да, МРТ гипофиза может выявить другие причины головных болей, не связанные с опухолью: кисты, воспалительные изменения, аномалии строения турецкого седла, признаки пустого турецкого седла, а также косвенные признаки повышенного внутричерепного давления. Если исследование не выявляет структурных изменений, это также ценный результат, позволяющий исключить гипофизарную патологию и направить диагностический поиск в другое русло (сосудистые, неврологические или другие причины).
Список литературы
- Melmed S., et al. The Pituitary. 5th ed. Academic Press, 2021.
- Asa S.L., Ezzat S. The Pathology of the Pituitary Gland. Springer, 2020.
- Freda P.U., Post K.D. Diagnosis and Management of Pituitary Tumors. Neurosurgery Clinics of North America, 2022;33(3):289–301. DOI: 10.1016/j.nec.2022.02.003.
- Vladimirova S.V. Gipofizarnye narusheniya i neyrovizualizatsiya: rukovodstvo dlya praktikuyushchikh vrachey. Moscow: MEDpress-inform, 2023.
- Fleseriu M., Auchus R.J., Bancos I., et al. Consensus on diagnosis and management of Cushing’s disease: a guideline update. The Lancet Diabetes & Endocrinology, 2021;9(12):847–875. DOI: 10.1016/S2213-8587(21)00235-7.
- Buchfelder M., Schlaffer S.M., Zhao Y. The optimal imaging of pituitary adenomas. Pituitary, 2020;23(1):34–41. DOI: 10.1007/s11102-019-00994-8.
- Bonneville J.F. MRI of the pituitary gland: a practical approach. Journal of Neuroradiology, 2020;47(2):104–112. DOI: 10.1016/j.neurad.2019.04.003.
- Mamelak A.N., Carmichael J.D., Bonert V.S., et al. Pituitary MRI: current techniques and clinical applications. Journal of Neuro-Oncology, 2021;153(2):203–214. DOI: 10.1007/s11060-021-03762-4.
- Katznelson L., Laws E.R., Melmed S., et al. Acromegaly: an endocrine society clinical practice guideline. Journal of Clinical Endocrinology and Metabolism, 2014;99(11):3933–3951. DOI: 10.1210/jc.2014-2700.
- Melmed S., Casanueva F.F., Hoffman A.R., et al. Diagnosis and treatment of hyperprolactinemia: an endocrine society clinical practice guideline. Journal of Clinical Endocrinology and Metabolism, 2011;96(2):273–288. DOI: 10.1210/jc.2010-1692.

на МРТ/КТ* в Санкт-Петербурге