КТ (компьютерная томография) всего тела
Обновлено и проверено 18.02.26

Полное КТ всего тела – это не модный чекап, а мощный инструмент для врачей. Рассказываем, когда он действительно необходим, что показывает и как не переплатить за обследование.
Компьютерная томография всего тела – это высокоточная методика диагностики, позволяющая получить послойные изображения практически всех внутренних органов и систем человека за одну процедуру. Благодаря быстрому сканированию и детальной визуализации, врачи получают объемную информацию, которую сложно или невозможно собрать с помощью других методов. Такая томография не требует хирургического вмешательства и проводится достаточно быстро, что делает её важным инструментом в медицине не только Санкт-Петербурга, но и всей современной России, особенно в условиях, когда необходима быстрая и комплексная оценка состояния пациента.
Когда назначается КТ всего тела

Комплексная КТ всего тела назначается в ситуациях, когда необходимо оценить общее состояние организма за короткое время и получить подробную картину внутренних изменений. Наиболее частыми поводами для направления на такое исследование становятся серьезные травмы, множественные переломы, подозрение на внутренние кровотечения или повреждения органов. В условиях поликлиники или стационара полное КТ сканирование часто проводят в случаях онкологического поиска, когда необходимо выявить возможные метастазы, уточнить локализацию опухоли или оценить динамику лечения.
Еще одной распространенной причиной являются неясные симптомы, не поддающиеся интерпретации при стандартных обследованиях. Речь идет о длительных болях, резком похудении, слабости без четкой причины или наличии подозрительных образований, выявленных на УЗИ или рентгене. Кроме того, КТ всего тела назначают пациентам с подозрением на сепсис, системные воспаления или аутоиммунные процессы, поскольку метод позволяет проследить за изменениями в различных органах и системах одновременно.
В некоторых случаях КТ применяется в рамках предоперационного планирования, особенно при сложных хирургических вмешательствах, требующих точного понимания анатомии и распространения патологии. Также метод незаменим при повторной оценке пациентов после операций или травм для контроля за процессом заживления и исключения осложнений. Хотя такие обследования нельзя считать рутинными, они занимают важное место в арсенале современной медицины, обеспечивая быстрый и объемный анализ состояния организма.
Ограничения и противопоказания
Несмотря на высокую диагностическую ценность, КТ всего тела имеет определенные ограничения и не может применяться в каждом клиническом случае. Одним из главных факторов, требующих внимания, является лучевая нагрузка. Поскольку исследование охватывает большой объем тканей, пациент получает значительное облучение, которое недопустимо при частом повторении без медицинской необходимости. Именно поэтому метод применяется строго по показаниям, особенно у детей и молодых людей, организм которых более чувствителен к воздействию рентгеновских лучей.
Противопоказанием к проведению исследования с контрастным усилением являются аллергические реакции на йодсодержащие препараты, а также тяжелые формы почечной недостаточности, при которых выведение контраста затруднено. Также осторожность требуется у пациентов с бронхиальной астмой, сердечной недостаточностью, нарушениями щитовидной железы и сахарным диабетом – решение о применении контраста в таких случаях принимает врач после анализа возможных рисков.
Физические ограничения также могут повлиять на возможность прохождения процедуры. Некоторые томографы имеют жесткие требования к весу пациента, и при весе выше установленного порога процедура может быть технически невозможна. Кроме того, пациенты с клаустрофобией или те, кто не способен лежать неподвижно в течение нескольких минут, могут столкнуться с трудностями при прохождении исследования. При наличии беременности проведение КТ возможно лишь по жизненным показаниям, с учетом потенциального риска для плода.
Контрастное усиление на КТ всего тела: нужно ли и зачем

Внутривенное введение контрастного препарата при КТ всего тела значительно повышает диагностическую точность, делая изображения органов и сосудов более чёткими и различимыми. Это особенно актуально при подозрении на новообразования, воспалительные очаги, нарушения сосудистого русла и метастатическое поражение. Контраст помогает визуализировать те структуры, которые на обычных снимках могут «сливаться» с окружающими тканями и оставаться незамеченными. Без усиления мелкие или слабо отличающиеся по плотности участки могут быть интерпретированы некорректно или вовсе не распознаны.
Решение о необходимости контрастирования принимает врач, ориентируясь на цели обследования и клиническую ситуацию. Если КТ в клиниках СПб проводится для оценки костных структур или в экстренных случаях при травмах, контраст может не потребоваться. Однако при подозрении на новообразования, сосудистые патологии, инфекционные очаги или органные повреждения – контраст является обязательным. Используемые препараты, как правило, на основе йода и быстро выводятся из организма, но требуют предварительного контроля функции почек и отсутствия противопоказаний.
В большинстве случаев введение контрастного вещества переносится пациентами спокойно и не вызывает выраженных неприятных ощущений. Иногда отмечаются кратковременные реакции, такие как ощущение жара по телу, металлический привкус или лёгкое головокружение. Аллергические проявления возникают крайне редко, но для их предотвращения перед началом процедуры врачи уточняют аллергологический анамнез и, при необходимости, проводят пробу или подбирают безопасную альтернативу.
Как проходит процедура

Подготовка к КТ всего тела определяется форматом исследования – будет ли использоваться контраст или нет. Если планируется сканирование с введением контрастного препарата, пациенту обычно рекомендуют воздержаться от еды за несколько часов до процедуры. Также врач может дать индивидуальные рекомендации, касающиеся питьевого режима и временной отмены определённых медикаментов. В день обследования необходимо снять украшения, часы, металлические аксессуары и переодеться в специальную одежду, не содержащую металлических элементов. При использовании контраста заранее устанавливается венозный катетер для последующего введения препарата.
Пациент укладывается на специальный стол, который плавно перемещается внутрь томографа. Во время сканирования важно сохранять полную неподвижность, поскольку малейшие движения могут снизить качество изображений. Сама процедура длится от 5 до 15 минут, в зависимости от области исследования и использования контраста. Во время сканирования аппарат может издавать характерные звуки, но сам процесс безболезненный и не вызывает неприятных ощущений.
После завершения обследования при использовании контраста рекомендуется пить больше жидкости, чтобы ускорить его выведение из организма. Результаты КТ обрабатываются врачом-рентгенологом и передаются лечащему врачу или пациенту. В экстренных случаях заключение может быть подготовлено в течение часа, при плановом обследовании – обычно в течение одного-двух дней. Благодаря высокой точности и скорости, КТ всего тела считается одним из самых эффективных инструментов диагностики в арсенале современной медицины.
Что показывает КТ всего тела

КТ всего тела даёт возможность всесторонне оценить состояние органов, сосудов, костей и мягких тканей с высокой степенью детализации. Это метод, способный охватить широкий круг заболеваний – от острых воспалений до опухолевых процессов. Исследование выявляет изменения структуры и плотности тканей, фиксирует наличие тромбов, гематом, инородных тел, кист и травм. При онкологических заболеваниях КТ помогает установить локализацию первичной опухоли, выявить метастазы и контролировать реакцию организма на лечение. Такой подход особенно ценен при длительном наблюдении и оценке эффективности проводимой терапии.
В экстренной медицине КТ всего тела незаменимо при множественных травмах. Метод позволяет быстро оценить повреждения жизненно важных органов, наличие внутренних кровотечений или переломов, что критично при принятии решений о неотложной помощи. Также томография используется при подозрении на тромбоэмболию легочной артерии, разрывы сосудов, аппендицит, панкреатит и другие острые состояния. Сканирование выявляет даже небольшие очаги воспаления, абсцессы, жидкостные скопления и структурные изменения, не заметные на УЗИ или обычном рентгене.
Кроме диагностики заболеваний, КТ всего тела в клиниках Санкт-Петербурга применяется для контроля после хирургических вмешательств и оценки результата лечения. Метод дает возможность видеть не только текущее состояние органов, но и косвенные признаки осложнений, таких как скопление жидкости, нарушения проходимости, рубцовые изменения или начало рецидива болезни. Благодаря этому врачи получают объективную картину и могут скорректировать тактику лечения, опираясь не на догадки, а на точные цифровые данные.
Насколько безопасна КТ всего организма
КТ всего тела считается относительно безопасной диагностической процедурой, однако она связана с воздействием ионизирующего излучения, что требует взвешенного подхода к назначению. Доза облучения зависит от параметров сканирования, продолжительности исследования и используемого оборудования. В современных медицинских центрах применяются низкодозовые протоколы, позволяющие минимизировать радиационную нагрузку без ущерба для качества изображения. Тем не менее, частое проведение КТ без веских оснований нежелательно, особенно для детей, подростков и молодых людей, так как их организм более чувствителен к воздействию рентгеновского излучения.
Контрастные вещества, применяемые при КТ с усилением, проходят строгий контроль и в подавляющем большинстве случаев хорошо переносятся пациентами. Однако возможны индивидуальные реакции, включая аллергические проявления, тошноту или головокружение. В редких случаях развивается более серьезная реакция, требующая немедленного медицинского вмешательства. Именно поэтому перед введением контраста проводится опрос пациента, а при наличии сомнений – лабораторные анализы и пробное тестирование.
В целом, риск осложнений при КТ всего тела крайне низкий, особенно если соблюдаются все протоколы безопасности. Пациенты с хроническими заболеваниями почек, сердца или щитовидной железы проходят обследование с учетом индивидуальных рисков и только по назначению врача. Противопоказанием остается беременность, за исключением ситуаций, когда исследование необходимо по жизненным показаниям. При соблюдении всех рекомендаций и правильной подготовке КТ остается эффективным и безопасным методом диагностики, превосходящим многие альтернативные методы по информативности.
Интерпретация результатов

После проведения КТ всего тела полученные изображения анализируются врачом-рентгенологом, который составляет подробное заключение. Интерпретация снимков требует высокой квалификации, поскольку важно не только заметить изменения, но и правильно оценить их клиническое значение. Рентгенолог описывает структуру внутренних органов, наличие объемных образований, аномалий, воспалительных или дегенеративных процессов. Особое внимание уделяется симметрии, плотности тканей и анатомическим особенностям, которые могут указывать на отклонения от нормы.
В зависимости от целей обследования, заключение может быть направлено на уточнение диагноза, оценку распространенности заболевания или контроль динамики лечения. Например, при онкологических заболеваниях врач указывает размеры опухоли, её контуры, вовлечение окружающих тканей, лимфоузлов и наличие отдалённых очагов. При травмах описываются переломы, гематомы, внутренние разрывы и смещения. В сложных случаях рентгенолог может рекомендовать дополнительное обследование или консультацию узких специалистов для уточнения картины.
Окончательное решение о диагнозе принимает лечащий врач, который сопоставляет данные КТ с клинической картиной, анализами и результатами других исследований. Заключение КТ – это не приговор, а диагностический инструмент, который помогает увидеть то, что скрыто от глаз и других методов. Грамотная интерпретация результатов позволяет избежать ошибок в диагностике и подобрать наиболее эффективную тактику лечения с учетом всех индивидуальных особенностей пациента.
Как выглядит тело на КТ: краткий анатомический обзор

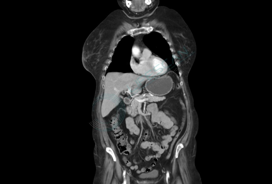
На снимках КТ человеческое тело представлено в виде последовательных срезов, отображающих внутреннюю анатомию с высокой степенью детализации. В отличие от обычного рентгена, КТ позволяет различать плотность различных тканей, благодаря чему можно четко увидеть органы, сосуды, кости и даже небольшие образования, находящиеся в толще мягких тканей. Анатомическое изображение строится по слоям – от головы до таза, в зависимости от охвата исследования. Каждый слой может быть представлен в разных проекциях: поперечной, сагиттальной и фронтальной, что обеспечивает трехмерное восприятие структуры тела.
Кости на КТ выглядят как плотные светлые структуры, мягкие ткани – как более темные участки с вариативной плотностью. Органы, такие как печень, почки, легкие и селезенка, хорошо визуализируются и оцениваются по форме, размерам, структуре и наличию патологических изменений. Легкие, из-за содержащегося в них воздуха, кажутся наиболее темными, тогда как плотные образования – наоборот, белыми. При использовании контрастного вещества сосуды становятся отчетливо видны, что позволяет проследить кровоток и выявить сосудистые патологии.
КТ особенно полезна для изучения областей, недоступных при обычной пальпации или визуальном осмотре, например, органов брюшной полости, грудной клетки и таза. Отдельно стоит отметить головной мозг и позвоночник: на КТ хорошо различимы структуры черепа, мозговые желудочки, отеки, кровоизлияния, а также костные элементы позвоночника и межпозвоночные диски. Благодаря такому уровню детализации врач может не только обнаружить патологию, но и понять ее природу и потенциальную угрозу для здоровья пациента.
КТ всего тела как навигация для врачей

Комплексная КТ всего тела играет ключевую роль в клинической навигации, особенно в сложных, неочевидных случаях, где традиционные методы диагностики не дают однозначного ответа. Это не просто визуализация органов – это инструмент, который помогает врачам выстроить логическую цепочку: от жалоб пациента до постановки точного диагноза и выбора метода лечения. На основании полученных данных специалист может оценить степень поражения, вовлеченность соседних структур, а также определить возможные риски и прогноз развития заболевания. Врач не действует вслепую – он ориентируется на точные изображения и заключения, которые позволяют избежать диагностических ошибок.
Особенно важна эта «навигационная» функция в хирургии и онкологии. При планировании оперативных вмешательств КТ помогает рассчитать оптимальный доступ, выявить особенности сосудистого рисунка и предупредить осложнения. В онкологической практике исследование позволяет точно определить границы опухоли, её распространение, наличие метастазов и состояние лимфоузлов. Это критично при выборе между оперативным лечением, химиотерапией или наблюдением. Также КТ позволяет отследить эффективность проводимого лечения: уменьшилась ли опухоль, исчезли ли очаги, как реагирует организм на терапию. Без такой навигации невозможно обеспечить высокий уровень медицинской точности и персонализированный подход к каждому пациенту.
Когда «всё тело» – это не обязательно всё

Несмотря на название, КТ всего тела не всегда означает сканирование от макушки до пят. В медицинской практике врачей Санкт-Петербурга «всё тело» чаще обозначает охват ключевых анатомических зон: грудная клетка, брюшная полость, таз, иногда – шея и часть позвоночника. Решение о включении тех или иных областей принимается индивидуально, в зависимости от предполагаемого диагноза и клинической задачи. Например, при подозрении на онкопроцесс достаточно просканировать зоны, где чаще всего встречаются метастазы, без захвата конечностей. В случае множественных травм может быть исключена голова, если предварительно проведена отдельная КТ черепа.
Такой выбор позволяет снизить лучевую нагрузку и ускорить процедуру, при этом сохранив диагностическую ценность. Иногда врач ограничивает сканирование до «торсо»-формата – от основания шеи до нижнего края таза, что охватывает основные жизненно важные органы. В других случаях проводится «расширенная» КТ, включающая череп и ноги, например, при подозрении на системные заболевания или генерализованные опухолевые процессы. Таким образом, термин «КТ всего тела» в медицинской практике – это скорее условное обозначение комплексного обследования, чем строгое следование анатомическим границам.
Что происходит после КТ тела: жизнь после «большого сканирования»

После прохождения КТ всего тела пациент возвращается к привычному режиму, но не всегда – к прежнему образу жизни. Полученные данные могут внести существенные коррективы в понимание собственного здоровья и потребовать пересмотра привычек, расписания и даже приоритетов. В некоторых случаях результат подтверждает опасения и открывает путь к лечению. В других – позволяет вздохнуть с облегчением, исключив серьезные диагнозы. Но вне зависимости от исхода, КТ становится поворотной точкой, которая структурирует дальнейшие шаги – будь то операция, терапия или просто наблюдение с регулярными контрольными обследованиями.
Если исследование проводилось с контрастным веществом, пациенту могут рекомендовать пить больше воды для ускоренного выведения препарата. Также возможен звонок от лечащего врача с разъяснением результатов или приглашением на очную консультацию. Важно понимать, что само наличие патологий на снимках – не приговор. Многие изменения требуют уточнения, дообследования или динамического наблюдения. Заключение КТ – это инструмент, который помогает врачу сориентироваться, а пациенту – действовать осознанно, понимая, что происходит в его организме.
Нередко результаты КТ становятся мотивацией к изменению образа жизни: снижению веса, отказу от курения, пересмотру диеты или началу регулярных тренировок. Иногда достаточно визуально увидеть, в каком состоянии находятся внутренние органы, чтобы принять решение, которое откладывалось годами. Таким образом, «большое сканирование» – это не просто процедура, а, по сути, момент истины, способный стать началом новой, более внимательной и ответственной жизни.
Пределы метода: что КТ всего тела не покажет

Несмотря на высокую точность и информативность, КТ всего тела не является универсальным методом и имеет свои ограничения. Прежде всего, КТ не позволяет достоверно оценить функциональные характеристики органов – например, активность работы сердца, обменные процессы или степень гормональной активности. Также метод уступает МРТ при обследовании мягкотканевых структур мозга, суставов и спинного мозга, особенно при подозрении на воспаления, рассеянный склероз или внутренние гематомы, плохо различимые на рентгеновских изображениях. Некоторые опухоли на ранней стадии или с малой сосудистой сетью могут быть неотличимы от здоровой ткани, особенно без контрастного усиления.
Кроме того, КТ не выявляет нарушения на клеточном уровне – такие, которые фиксируются с помощью ПЭТ или биохимических анализов. При обследовании кишечника, желудка или полых органов без специальной подготовки возможна неполная визуализация стенок, из-за чего могут быть пропущены мелкие язвы или участки воспаления. Сложности также возникают при оценке динамических процессов – движений суставов, кровотока в реальном времени или функционального дыхания. Таким образом, хотя КТ охватывает большой объем информации, она требует сочетания с другими методами, если необходимо более глубокое или специфичное исследование, что в современных диагностических центрах СПб уже давно не является проблемой.
FAQ
Можно ли делать КТ всего тела при беременности?
КТ всего тела при беременности противопоказана, за исключением экстренных ситуаций, когда существует прямая угроза жизни матери и проведение исследования жизненно необходимо. Рентгеновское излучение может оказывать негативное влияние на развитие плода, особенно в первом триместре. Если процедура все же требуется по неотложным показаниям, используются протоколы с минимальной лучевой нагрузкой, а область живота экранируется. В плановом порядке КТ беременным не проводится — предпочтение отдается УЗИ или МРТ (без контраста).
Можно ли делать КТ всего тела при клаустрофобии?
КТ всего тела переносится легче, чем МРТ, так как процедура длится всего 5-15 минут, а кольцо томографа более просторное и короткое. Однако при выраженной клаустрофобии возможно применение легкой седации (успокоительных) по назначению врача. Также существуют аппараты с увеличенным диаметром отверстия (до 80-85 см), что снижает ощущение замкнутости. Обязательно сообщите о своем страхе персоналу клиники заранее — это поможет выбрать наиболее комфортный вариант проведения исследования.
Сколько раз в год можно делать КТ всего тела без вреда для здоровья?
Частота проведения КТ всего тела определяется строго по медицинским показаниям. В среднем безопасным считается проведение 1-2 исследований в год, если они действительно необходимы и нет других методов диагностики. Многократные повторения без достаточных оснований не рекомендуются из-за накопления лучевой нагрузки. В онкологии, при динамическом наблюдении, КТ может назначаться каждые 3-6 месяцев, но в таких случаях врачи используют протоколы с минимально возможной дозой облучения и тщательно оценивают соотношение пользы и риска.
Можно ли делать КТ всего тела с контрастом при аллергии на морепродукты?
Аллергия на морепродукты не является прямым противопоказанием для введения йодсодержащего контраста, хотя раньше существовало ошибочное мнение о перекрестной реакции. Аллергическая реакция на контраст связана с самим препаратом, а не с йодом как элементом. Однако если у вас есть аллергия на любые лекарственные препараты, особенно на йодсодержащие контрасты в анамнезе, необходимо сообщить об этом врачу. В таких случаях может быть проведена премедикация антигистаминными средствами или выбрана альтернативная методика (МРТ с гадолинием, если нет противопоказаний).
Список литературы
- Sierink J.C., Saltzherr T.P., Beenen L.F.M., et al. Immediate total-body CT scanning versus conventional imaging and selective CT scanning in patients with severe trauma (REACT-2): a randomised controlled trial. The Lancet. 2016;388(10045):673–683. doi:10.1016/S0140-6736(16)30932-1. PubMed: https://pubmed.ncbi.nlm.nih.gov/27371185/ (Epub 2016-06-28). PubMed.
- Centers for Disease Control and Prevention (CDC). Facts About Computed Tomography (CT) Scans. 2024-02-15. https://www.cdc.gov/radiation-health/data-research/facts-stats/ct-scans.html. CDC.
- World Health Organization (WHO). Communicating radiation risks in paediatric imaging: Information to support healthcare discussions about benefit and risk. Geneva: WHO; 2016-07-13. PDF: https://iris.who.int/bitstream/handle/10665/340584/WHO-FWC-PHE-2016.01-eng.pdf.
- Huber-Wagner S., Lefering R., Qvick L.M., et al. Effect of whole-body CT during trauma resuscitation on survival: a retrospective, multicentre study. The Lancet. 2009;373(9673):1455–1461. doi:10.1016/S0140-6736(09)60232-4. PubMed: https://pubmed.ncbi.nlm.nih.gov/19321199/. PubMed.
- National Institute for Health and Care Excellence (NICE). Major trauma: assessment and initial management (NG39). 2016-02-17. https://www.nice.org.uk/guidance/ng39. (см. рекомендации по использованию whole-body CT у пациентов с тупой травмой).
- Бердичевский А.Г., Зверев А.В. "Компьютерная томография: клиническое руководство", Москва, 2020.
- Беляев А.М., Кононов И.П. "Лучевая диагностика в неотложной медицине", Санкт-Петербург, 2019.
- Richter M., Ostendorf P. "Whole-Body CT Imaging in Trauma Patients", Springer, 2018.
- Brink J.A., Golding S.J. "Diagnostic Radiology: Recent Advances and Applied Physics in Imaging", Oxford University Press, 2021.

на МРТ/КТ* в Санкт-Петербурге