КТ (компьютерная томография) сердца
Обновлено и проверено 18.02.26

КТ сердца – это способ заглянуть в сосуды, пока они ещё не начали подавать тревожные сигналы. Даже при хорошем самочувствии томография может выявить скрытую угрозу и дать шанс предотвратить инфаркт.
Компьютерная томография сердца в клиниках Санкт-Петербурга – это диагностический метод, который помогает выявлять скрытые патологии сердечно-сосудистой системы, прежде чем они проявятся симптомами. Его назначают для точной визуализации сосудов, тканей и структур самого сердца. Современная техника позволяет получить трёхмерные изображения с высокой степенью детализации, что делает КТ одним из ключевых инструментов в профилактике и уточнении диагноза. Несмотря на высокую информативность, процедура остаётся неинвазивной и требует минимального времени на подготовку и проведение. В условиях растущего числа сердечно-сосудистых заболеваний КТ становится особенно востребованным методом диагностики, доступным не только в крупных кардиологических центрах, но и в многопрофильных учреждениях.
Часто КТ сердца рекомендуют тем, у кого есть факторы риска – повышенное артериальное давление, высокий уровень холестерина, диабет, наследственная предрасположенность к ишемической болезни. Также это обследование проводят при наличии неясных жалоб, когда другие методы, такие как УЗИ или ЭКГ, не дают полной картины. Своевременное выполнение томографии может сыграть решающую роль в предупреждении тяжёлых последствий, таких как инфаркт или внезапная остановка сердца. При этом правильное понимание целей, возможностей и ограничений КТ помогает пациенту грамотно подготовиться и использовать результаты максимально эффективно.
Что такое КТ сердца

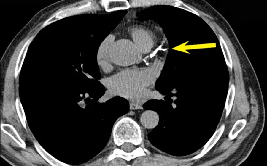
КТ сердца – это метод послойной рентгеновской визуализации, при котором с помощью компьютерной обработки создаются изображения сердца и окружающих его структур. Для исследования используется специализированный мультиспиральный томограф, способный захватывать изображения с высокой скоростью, что особенно важно при обследовании движущихся органов. В большинстве случаев проводится КТ с контрастированием, при котором внутривенно вводится препарат на основе йода для улучшения визуализации сосудов. Это позволяет чётко определить степень их проходимости, выявить сужения, тромбы, аневризмы и другие отклонения.
В отличие от классической рентгенографии, КТ предоставляет объёмную картину, где каждый слой органа можно рассматривать отдельно. Это особенно важно при исследовании коронарных артерий – сосудов, снабжающих сердце кровью. Именно они чаще всего становятся источником серьёзных проблем, таких как ишемия или инфаркт. При этом КТ позволяет не только зафиксировать сам факт сужения сосуда, но и оценить структуру бляшки, наличие кальцинатов и степень риска. Также КТ визуализирует камеры сердца, перикард, аорту, лёгочные сосуды, что делает его универсальным инструментом диагностики.
Процедура занимает в среднем от 10 до 20 минут. Во время обследования пациент лежит на столе томографа, который перемещается через сканирующее кольцо. Чтобы минимизировать искажения, врач может рекомендовать временное снижение частоты сердцебиения с помощью медикаментов. После завершения процедуры данные обрабатываются и анализируются специалистом, а пациент получает заключение и изображения на цифровом носителе или в электронном виде. КТ сердца считается безопасным методом при соблюдении всех показаний и подготовительных мероприятий, а риск осложнений минимален.
Показания к КТ сердца

Назначение КТ сердца в медицинских центрах СПб происходит строго по медицинским показаниям, так как метод требует применения рентгеновского излучения и зачастую контрастных веществ. Одним из основных показаний является подозрение на ишемическую болезнь, особенно при отсутствии характерных изменений на ЭКГ или при неоднозначных результатах нагрузочных тестов. КТ позволяет не только подтвердить или исключить диагноз, но и оценить степень поражения сосудов. Особенно полезно обследование при нетипичных болях в груди, одышке, приступах слабости или головокружениях, которые могут быть связаны с нарушением кровоснабжения миокарда.
Второй частой причиной назначения КТ сердца является контроль состояния после вмешательств – стентирования, шунтирования или установки клапанов. Обследование помогает убедиться в проходимости сосудов, отсутствии тромбов, деформаций и других осложнений. Также его используют при планировании хирургических операций и оценки аномалий развития сосудистой системы, в том числе врождённых. Томография играет ключевую роль в диагностике кальциноза коронарных артерий, позволяя не только выявить отложения, но и рассчитать так называемый индекс кальция, отражающий уровень риска.
Кроме того, КТ сердца проводят при подозрении на воспалительные процессы – перикардит, миокардит, эндокардит – а также при наличии опухолевых образований, тромбов или аневризм. Ещё одним основанием становится неэффективность лечения при уже установленном диагнозе: в таких случаях необходимо пересмотреть состояние сердечно-сосудистой системы в целом. В ряде случаев КТ назначается в рамках общего обследования при наличии факторов риска у внешне здорового пациента. Такое превентивное применение метода позволяет выявить опасные состояния до появления симптомов и своевременно принять меры.
Противопоказания и ограничения
Несмотря на высокую информативность и безопасность КТ сердца, существуют ситуации, при которых проведение процедуры нежелательно или вовсе невозможно. Абсолютным противопоказанием считается беременность, так как рентгеновское излучение даже в минимальных дозах может оказать негативное влияние на развитие плода. Также КТ сердца с контрастом не выполняется пациентам с тяжёлыми формами аллергии на йодсодержащие препараты, если предварительная подготовка и замена вещества невозможны. Кроме того, процедуру могут не рекомендовать при выраженной почечной недостаточности, так как контрастный агент выводится через почки и может усугубить состояние пациента.
Сложности возникают и при нарушениях сердечного ритма, особенно если они сопровождаются частой экстрасистолией или фибрилляцией предсердий. В этих случаях томографу бывает трудно зафиксировать чёткое изображение движущихся структур, и качество снимков снижается. Для получения достоверных результатов может потребоваться предварительная медикаментозная коррекция пульса. Кроме того, ограничения касаются пациентов с выраженным ожирением – некоторые томографы имеют физические ограничения по весу и объёму тела. Также препятствием может стать клаустрофобия, особенно при обследовании на аппаратах закрытого типа, хотя современные КТ в медцентрах Санкт-Петербурга часто имеют более просторный дизайн и короткое время сканирования.
Подготовка к исследованию

Для прохождения КТ сердца необходима минимальная, но строго обязательная подготовка, особенно если исследование проводится с контрастированием. За сутки до процедуры рекомендуется ограничить употребление кофеина, энергетических напитков и алкоголя, так как они могут повлиять на частоту сердечных сокращений. В день обследования не следует курить и употреблять тяжёлую пищу – оптимально прийти натощак или с лёгким завтраком, если иное не указано врачом. При назначении контрастного вещества за 4-6 часов до процедуры следует прекратить приём пищи, чтобы снизить риск побочных эффектов.
Некоторым пациентам кардиолог может порекомендовать принять препарат для снижения пульса – например, бета-блокатор – если частота сердечных сокращений превышает 70 ударов в минуту. Это нужно для улучшения качества изображений, особенно в зоне коронарных артерий. Также за несколько дней до обследования может потребоваться сдать анализ на уровень креатинина, чтобы убедиться в нормальной функции почек и возможности безопасного введения контраста. В случае аллергии на йод необходимо заранее сообщить об этом врачу, который назначит премедикацию или подберёт альтернативный подход. Документы, которые нужно взять с собой – направление, медицинская карта (если есть), результаты предыдущих исследований и паспорт.
Как проходит процедура

КТ сердца выполняется в специальном диагностическом кабинете с использованием мультиспирального томографа. Пациента просят лечь на подвижный стол, который будет перемещаться через кольцевую часть аппарата. Во время сканирования необходимо сохранять неподвижность и задерживать дыхание по команде врача или техника. Это необходимо для получения чётких изображений сердца, особенно в момент его наименьшего движения. Перед началом процедуры к телу пациента прикрепляют электроды для синхронизации с ЭКГ – аппарат регистрирует фазы сердечного цикла и делает снимки в наиболее стабильные моменты.
Если планируется КТ с контрастом, перед началом сканирования внутривенно вводится йодсодержащее вещество через катетер. Это может сопровождаться кратковременным ощущением тепла в теле, металлическим привкусом во рту или лёгкой тошнотой, которые быстро проходят. Вся процедура длится от 10 до 20 минут, включая подготовку, сам скан и завершение обследования. После завершения сканирования пациент может отдохнуть в коридоре или в специальной зоне, особенно если использовался контраст. В большинстве случаев сразу после процедуры можно вернуться к обычному режиму, за исключением рекомендаций по питьевому режиму, если вводился контраст – важно хорошо промыть организм водой.
После завершения исследования снимки проходят обработку, а врач-рентгенолог или специалист по КТ готовит заключение. В зависимости от клиники и срочности, результат может быть готов в течение часа, либо в течение 1-2 рабочих дней. При необходимости материалы могут быть переданы лечащему врачу через электронную систему или записаны на диск, флешку или отправлены по защищённой ссылке. Важно понимать, что расшифровка КТ сердца требует профессионального анализа и не должна заменять очную консультацию кардиолога. Только специалист сможет правильно интерпретировать полученные данные и определить дальнейшие шаги в диагностике или лечении.
Виды КТ сердца
В СПб распространено несколько разновидностей КТ сердца, каждая из которых используется в зависимости от конкретной диагностической задачи. Одной из наиболее распространённых форм является КТ-коронарография, которая позволяет визуализировать коронарные артерии и выявить даже минимальные участки сужения. Это исследование назначается при подозрении на ишемическую болезнь, а также для контроля состояния сосудов после стентирования или шунтирования. В ряде случаев его используют как альтернативу инвазивной катетерной коронарографии, особенно на этапе первичной диагностики.
Другой вариант – определение кальциевого индекса или так называемой шкалы кальция. Это бесконтрастное исследование, которое фиксирует наличие и объём кальцинатов в стенках коронарных артерий. Оно особенно полезно у пациентов без выраженных симптомов, но с множественными факторами риска. Кальциевый индекс позволяет рассчитать вероятность развития сердечно-сосудистых осложнений в течение ближайших лет. Также существует КТ сердца с нагрузкой, когда сканирование проводится после фармакологической стимуляции, имитирующей физическую активность. Этот метод даёт возможность оценить резерв кровоснабжения и выявить скрытые формы ишемии.
В некоторых случаях выполняется КТ с функциональной оценкой – это сочетание анатомического и физиологического анализа, при котором оценивается не только проходимость сосудов, но и кровоток. Такой подход может быть полезен при неясной клинической картине, когда анатомическое сужение ещё не вызывает выраженных нарушений кровообращения. Также КТ используется для оценки состояния клапанов, полостей сердца, перикарда и крупных сосудов, включая аорту и лёгочные артерии. Таким образом, метод охватывает как коронарную, так и некоронарную патологию, обеспечивая комплексную картину состояния сердца.
Что показывает КТ сердца

Компьютерная томография сердца предоставляет детальную информацию о строении и состоянии как самих сердечных структур, так и коронарных сосудов. С её помощью можно выявить сужения артерий различной степени, от начальных изменений до критических стенозов. Метод позволяет зафиксировать не только сам факт наличия атеросклеротической бляшки, но и определить её характер: мягкая, кальцинированная, смешанная. Это имеет принципиальное значение для оценки риска разрыва бляшки и последующего инфаркта. Помимо сосудов, КТ визуализирует толщину стенок миокарда, размеры полостей, наличие патологических образований или рубцов.
Исследование даёт возможность обнаружить тромбы, аневризмы, врождённые аномалии развития сосудов, а также воспалительные процессы, включая миокардит и перикардит. КТ позволяет оценить функцию клапанов, наличие утолщений, кальцинатов и их влияние на кровоток. В случае аортальных патологий, таких как расслоение или расширение, метод также предоставляет точные данные о протяжённости и угрозе разрыва. В ходе исследования можно изучить перикард – оболочку, окружающую сердце, – и выявить признаки воспаления, жидкости или сращений. Кроме того, при обследовании одновременно оцениваются органы грудной клетки, что может помочь в дифференциальной диагностике болей в груди.
Дополнительной ценностью КТ сердца является его возможность выявить так называемые «молчащие» формы ишемической болезни, при которых симптомы отсутствуют, а сосуды уже частично поражены. Это особенно важно для пациентов с высоким риском, но без явных признаков заболевания. Кроме того, технология позволяет сравнивать текущие данные с предыдущими, отслеживая динамику состояния. В случае правильной расшифровки КТ сердца становится не просто способом визуализации, а полноценным инструментом для прогнозирования и предупреждения серьёзных осложнений.
Расшифровка результатов

После проведения КТ сердца результаты поступают в работу специалисту-рентгенологу или врачу функциональной диагностики, обладающему опытом интерпретации именно кардиологических томограмм. Процесс расшифровки включает в себя изучение снимков, анализ состояния коронарных артерий, оценку толщины миокарда, объёма полостей, а также поиск отклонений, таких как тромбы, аневризмы, новообразования или воспалительные изменения. Заключение составляется на основе совокупной картины, с указанием всех обнаруженных изменений и рекомендациями по дальнейшему ведению пациента. В некоторых случаях врач может использовать программное моделирование кровотока, особенно если проводилась функциональная оценка.
Формулировки в заключении бывают как стандартными, так и требующими пояснений. Например, может быть указано «кальцинаты в устье передней межжелудочковой артерии без гемодинамически значимого стеноза», что означает наличие отложений кальция без критического нарушения кровотока. Или «смешанная бляшка с сужением просвета до 60%» – это уже более значимая находка, требующая наблюдения или вмешательства. Важно понимать, что само наличие изменений не всегда означает необходимость срочного лечения – всё зависит от клинической картины и других анализов.
Пациент любой из клиник в СПб получает результаты в виде цифровых изображений (на диске, флешке или по ссылке) и текстового заключения. При необходимости возможна очная консультация специалиста для объяснения полученных данных. Иногда заключение направляется напрямую лечащему врачу через электронную систему. Самостоятельная интерпретация КТ-снимков может привести к ошибкам, поэтому всегда стоит доверять анализ профессионалу. Только комплексный подход – КТ, анамнез, жалобы и сопутствующие обследования – позволяет правильно поставить диагноз и выбрать оптимальную тактику лечения.
КТ сердца у особых категорий

Проведение КТ сердца у определённых групп пациентов требует особого подхода. Например, у пожилых людей часто наблюдаются сопутствующие заболевания – почечная недостаточность, аритмии, кальциноз сосудов – которые могут повлиять на ход и результаты процедуры. В таких случаях врач тщательно подбирает схему подготовки, возможно снижение дозы контрастного вещества или выбор бесконтрастного исследования, если основной задачей является, например, оценка кальциноза. При наличии имплантированных устройств – таких как кардиостимуляторы, клапаны или стенты – КТ позволяет отслеживать их состояние, исключить смещения и осложнения.
Особое внимание уделяется пациентам с диабетом. Повышенная нагрузка на почки и повышенный риск аллергических реакций делают необходимыми предварительное обследование и консультацию с врачом. У женщин, особенно в репродуктивном возрасте, КТ сердца назначается только при веских показаниях, так как рентгеновское излучение, хоть и минимальное, нежелательно в период беременности и планирования. Для детей КТ сердца выполняется только в исключительных случаях – например, при врождённых пороках развития сосудов или сердца, когда альтернативные методы не дают нужной информации.
У спортсменов и людей с высокой физической активностью исследование может использоваться для оценки степени адаптации сердца, выявления скрытых перегрузок и утолщений миокарда. Также обследование у таких пациентов помогает исключить опасные патологии, такие как кардиомиопатии или аномалии коронарных сосудов. Для пациентов с онкологическими заболеваниями КТ сердца нередко становится частью большого диагностического комплекса, позволяя выявить метастазы, поражение перикарда или сосудов. Таким образом, индивидуальный подход к каждому пациенту – важнейшее условие безопасного и информативного обследования сердца.
Альтернативные методы диагностики

Несмотря на точность и высокую информативность, КТ сердца – не единственный метод оценки состояния сердечно-сосудистой системы. Одним из основных конкурентов остаётся эхокардиография (УЗИ сердца), позволяющая оценить сократимость миокарда, работу клапанов и объём камер без лучевой нагрузки. Это обследование доступно, быстро проводится и может использоваться в динамике. Однако при необходимости оценки сосудов, особенно коронарных артерий, эхокардиография не даёт полной картины. В таких случаях КТ оказывается значительно более точным и подробным.
Ещё один метод – МРТ сердца. Он применяется для оценки структуры миокарда, выявления рубцовых изменений, воспалений и врождённых аномалий. Преимущество МРТ в отсутствии рентгеновского излучения, но оно уступает КТ в скорости выполнения и детализации сосудов. Инвазивная коронарография до сих пор считается «золотым стандартом» в диагностике заболеваний коронарных артерий, однако требует госпитализации, анестезии и несёт больше рисков. КТ в Санкт-Петербурге всё чаще используется как первичный инструмент, позволяющий избежать ненужных инвазивных вмешательств при отсутствии серьёзных отклонений.
Кроме того, существуют функциональные тесты – стресс-тесты, тредмил-тест, сцинтиграфия миокарда – которые позволяют оценить, как сердце справляется с нагрузкой. Они применяются для определения степени ишемии, но не дают точной информации о состоянии сосудов и анатомических изменений. Каждый метод имеет свои сильные стороны, и выбор зависит от клинической задачи. Нередко они применяются в комплексе, когда данные одного обследования дополняются результатами другого. Задача врача – выбрать оптимальный маршрут диагностики с учётом всех особенностей пациента.
Невидимая угроза: как КТ распознаёт бессимптомную ишемию

Одним из ключевых достоинств КТ сердца является его способность выявлять ишемическую болезнь на ранних этапах, ещё до появления явных симптомов. Бессимптомная ишемия – опасное состояние, при котором кровоток к миокарду уже нарушен, но пациент не чувствует боли или дискомфорта. Такие случаи особенно коварны, так как могут привести к внезапному инфаркту без предварительных предупреждающих признаков. КТ-коронарография позволяет увидеть участки сужения артерий, оценить их протяжённость и определить, насколько критично нарушен кровоток.
Даже при частично сохранённой проходимости сосудов томография выявляет нестабильные бляшки, склонные к разрыву. Это крайне важно, поскольку именно такие образования чаще всего становятся причиной тромбозов и острого коронарного синдрома. Кроме того, КТ помогает отличить гемодинамически значимые сужения от неопасных, что позволяет избежать избыточного лечения и сосредоточиться на действительно угрожающих зонах. Для пациентов из групп риска – с высоким уровнем холестерина, гипертонией, наследственностью – такое исследование может стать решающим в стратегии профилактики.
Бессимптомная ишемия часто встречается у людей старшего возраста, пациентов с сахарным диабетом и тех, кто перенёс стресс или физическую перегрузку. Также она может протекать у женщин с атипичными симптомами – например, слабостью, усталостью или тошнотой. КТ позволяет исключить или подтвердить наличие сужений и подобрать грамотную тактику наблюдения. Благодаря высокой точности и визуализации в режиме реального времени КТ становится не просто диагностикой, а инструментом прогнозирования риска, на основе которого строится индивидуальный план терапии.
Коронарография без катетера

Традиционно для изучения коронарных артерий применялась инвазивная коронарография, при которой в сосуды сердца вводился катетер и контрастное вещество. Несмотря на высокую точность, эта процедура требует госпитализации, связана с риском осложнений и требует времени на восстановление. Появление КТ-коронарографии стало революцией в кардиодиагностике: теперь визуализация сосудов возможна без проколов и пребывания в стационаре. Исследование проводится амбулаторно, занимает не более получаса и не требует наркоза или специальной подготовки, кроме контроля частоты сердцебиения.
КТ-коронарография даёт возможность в деталях увидеть анатомию коронарных артерий, наличие и характер бляшек, а также степень сужения просвета сосуда. Это особенно важно при первичном выявлении ишемической болезни, оценке состояния после стентирования или шунтирования, а также при неясных жалобах, когда ЭКГ и УЗИ не дают ответов. Такой подход позволяет избежать ненужного вмешательства, если сужения не критичны, или, наоборот, вовремя направить пациента на лечение. В отличие от традиционной ангиографии, КТ позволяет оценить не только просвет сосуда, но и состояние стенки, что даёт более полную картину.
Сегодня КТ-коронарография становится предпочтительным методом при умеренном риске коронарных заболеваний. Она особенно удобна для скрининга и контроля пациентов с диабетом, метаболическим синдромом или наследственной предрасположенностью. Метод безопасен, относительно доступен и даёт мощный диагностический эффект без вторжения в организм. Он не заменяет полностью инвазивные методы, но в большинстве случаев позволяет отложить или вовсе избежать более сложных процедур.
Что такое «кальций-скор» и зачем он нужен здоровым людям

Кальций-скор, или индекс коронарного кальция, – это числовой показатель, отражающий объём кальциевых отложений в стенках коронарных артерий. Он определяется с помощью бесконтрастной КТ и используется как инструмент ранней диагностики атеросклероза, ещё до появления симптомов. Даже у людей, которые чувствуют себя здоровыми, может быть обнаружен высокий уровень коронарного кальция – сигнал того, что сосуды постепенно сужаются. Такой результат позволяет скорректировать образ жизни, назначить профилактическое лечение и избежать серьёзных сердечно-сосудистых событий в будущем.
Индекс вычисляется автоматически на основе данных сканирования. Чем выше значение – тем выше риск инфаркта или стенокардии в ближайшие годы. Например, при нулевом кальций-скоре риск сердечных событий минимален, а при значении выше 400 вероятность осложнений возрастает в разы. В отличие от общих анализов крови, кальций-скор даёт конкретное представление о физическом состоянии сосудов, а не о вероятности в теории. Это особенно полезно для мужчин старше 40 лет, женщин после менопаузы и всех, у кого в анамнезе есть родственники с сердечными заболеваниями.
Преимуществом этого метода является его простота и безопасность: не нужен контраст, не требуется госпитализация, доза облучения минимальна. Исследование занимает 5-10 минут и может стать первым шагом в формировании кардиологической стратегии. Особенно оно ценно для тех, кто не имеет жалоб, но хочет объективно оценить своё состояние и предотвратить развитие болезни. Своевременное выявление кальциноза – шанс не упустить время и начать действовать, пока изменения обратимы.
Почему важна частота сердцебиения перед КТ

При проведении КТ сердца критически важным параметром является частота сердечных сокращений. Чтобы получить чёткие снимки движущегося органа, аппарат делает серию изображений в определённой фазе сердечного цикла. Если пульс слишком высокий или нерегулярный, изображение может оказаться смазанным, а диагностика – затруднённой или даже неточной. Оптимальным считается ритм от 55 до 65 ударов в минуту. При таких показателях томограф лучше всего «синхронизируется» с работой сердца, и вероятность повторного обследования значительно снижается.
Влияние на пульс возможно как естественным способом, так и с помощью медикаментов. За несколько дней до процедуры рекомендуется отказаться от кофе, энергетиков и других стимуляторов. В день КТ желательно не нервничать, не торопиться и не заниматься активной физической нагрузкой. Иногда врач может назначить приём бета-блокаторов – препаратов, снижающих частоту пульса – за 1-2 часа до сканирования. Они безопасны при контролируемом приёме и существенно повышают качество диагностики.
Если пациент страдает от аритмии, подготовка требует особого подхода. В некоторых случаях процедуру переносят или проводят с учётом искажённого ритма, но тогда возможно снижение точности. Поэтому крайне важно заранее сообщить врачу обо всех имеющихся заболеваниях и приёме медикаментов. Управление пульсом – не просто технический нюанс, а важная часть качественной диагностики, от которой зависит весь результат КТ сердца.
Как КТ отличает мягкую бляшку от опасной

КТ сердца позволяет не только зафиксировать факт наличия атеросклеротических изменений, но и оценить тип бляшек, что критично для прогноза. С помощью плотностной шкалы Хаунсфилда томограф определяет структуру отложений: мягкие бляшки имеют низкую плотность (менее 60 HU), состоят преимущественно из липидов и обладают высокой склонностью к разрыву. Такие образования считаются наиболее опасными, поскольку они нередко становятся причиной внезапных инфарктов даже при умеренном стенозе.
Смешанные бляшки включают в себя и жировые, и кальцинированные компоненты. Они менее склонны к разрыву, но всё ещё представляют риск. Плотные кальцинированные бляшки (свыше 130 HU) чаще стабильны, однако могут значительно ограничивать кровоток, если занимают большую часть просвета сосуда. Именно способность КТ к количественной оценке плотности и распределения этих компонентов делает метод особенно ценным при оценке риска коронарных событий. Дополнительно программа может визуализировать оболочку бляшки – тонкая капсула указывает на нестабильность, в то время как толстая оболочка – на относительную безопасность.
Истории пациентов

Многие пациенты, прошедшие КТ сердца в диагностических отделениях Санкт-Петербурга без выраженных жалоб, сталкивались с неожиданными результатами, которые становились поворотным моментом в их жизни. Один из таких случаев – мужчина 47 лет с лёгкой одышкой при нагрузке и нормальными результатами ЭКГ. КТ-коронарография показала критическое сужение левой передней нисходящей артерии мягкой бляшкой – состояние, потенциально угрожающее жизне. Пациент был срочно направлен на стентирование и избежал инфаркта.
Другой пример – женщина 59 лет, прошедшая обследование по совету терапевта из-за высокого холестерина. Несмотря на отсутствие жалоб, индекс кальция составил более 800, а КТ показало множественные бляшки во всех коронарных сосудах. Благодаря раннему выявлению, ей удалось вовремя скорректировать лечение и стабилизировать состояние. Встречаются и случаи, когда КТ исключает серьёзные проблемы, избавляя пациента от избыточных обследований и тревоги. В таких ситуациях исследование подтверждает: симптомы связаны не с сердцем, а с другими причинами, что тоже важно.
FAQ
Можно ли делать КТ сердца, если у меня стоит кардиостимулятор?
Наличие кардиостимулятора не является абсолютным противопоказанием для КТ сердца, в отличие от МРТ. Однако важно предупредить врача и рентгенолаборанта о наличии устройства. Металлические компоненты стимулятора могут создавать артефакты на снимках, особенно в области сердца, что может затруднить интерпретацию коронарных артерий. В некоторых случаях исследование может быть выполнено, но с учетом возможных ограничений. При необходимости врач может рекомендовать альтернативные методы диагностики.
Можно ли делать КТ сердца при высоком давлении?
КТ сердца может проводиться при артериальной гипертензии, но перед процедурой важно стабилизировать давление. Высокое давление не является прямым противопоказанием, однако оно может повлиять на частоту сердечных сокращений и качество изображений. В день исследования рекомендуется принять обычные гипотензивные препараты (если иное не указано врачом). При значительном повышении давления процедуру могут перенести для обеспечения безопасности пациента и получения качественных снимков.
Можно ли пить воду перед КТ сердца с контрастом?
Перед КТ сердца с контрастом рекомендуется воздержаться от приема пищи за 4-6 часов, но чистую негазированную воду пить можно. Достаточная гидратация даже полезна для защиты почек и облегчения выведения контрастного вещества после процедуры. Однако за 1-2 часа до сканирования лучше ограничить количество жидкости, чтобы избежать дискомфорта во время исследования. Точные рекомендации по питьевому режиму следует уточнить в клинике перед процедурой.
Сколько времени длится КТ сердца и когда будут готовы результаты?
Сама процедура сканирования занимает 10-20 минут. Подготовка (установка катетера, при необходимости коррекция пульса) может добавить еще 10-15 минут. Результаты в виде заключения врача-рентгенолога обычно готовы в течение 1-2 рабочих дней. В некоторых клиниках при срочной необходимости возможно получение предварительного заключения в течение нескольких часов после исследования. Снимки и заключение выдаются на цифровом носителе или передаются лечащему врачу в электронном виде.
Нужно ли снимать зубные протезы перед КТ сердца?
Съемные зубные протезы, содержащие металлические элементы, необходимо снять перед КТ сердца. Металл может создавать артефакты на снимках грудной клетки, особенно если протезы крупные или имеют металлические крепления. Несъемные стоматологические конструкции (коронки, импланты) обычно не требуют удаления, но о них следует сообщить врачу. Современные титановые импланты редко влияют на качество изображения сердца.
Список литературы
- Narula J., Chandrashekhar Y., Ahmadi A., et al. SCCT 2021 Expert Consensus Document on Coronary Computed Tomographic Angiography // Journal of Cardiovascular Computed Tomography. 2021. Т. 15, № 3. С. 192–217. DOI: 10.1016/j.jcct.2020.11.001. PubMed.
- Greenland P., Blaha M. J., Budoff M. J., et al. Coronary Calcium Score and Cardiovascular Risk // Journal of the American College of Cardiology. 2018. Т. 72, № 4. С. 434–447. DOI: 10.1016/j.jacc.2018.05.027. PubMed.
- Visseren F. L. J., Mach F., Smulders Y. M., et al. 2021 ESC Guidelines on cardiovascular disease prevention in clinical practice // European Heart Journal. 2021. Т. 42, № 34. С. 3227–3337. DOI: 10.1093/eurheartj/ehab484.
- Cury R. C., Leipsic J., Abbara S., et al. CAD-RADS™ 2.0 — 2022 Coronary Artery Disease-Reporting and Data System: An Expert Consensus Document of SCCT/ACC/ACR/NASCI // JACC: Cardiovascular Imaging. 2022. Т. 15, № 11. С. 1974–2001. DOI: 10.1016/j.jcmg.2022.07.002.
- Budoff M. J., Achenbach S., Blumenthal R. S., et al. Assessment of coronary artery disease by cardiac computed tomography: a scientific statement from the American Heart Association // Circulation. 2006. Т. 114, № 16. С. 1761–1791. DOI: 10.1161/CIRCULATIONAHA.106.178458.
- Budoff M.J. et al. Assessment of coronary artery disease by cardiac computed tomography. Circulation Research. 2016.
- Hausleiter J., Meyer T. L. Cardiac CT imaging: diagnosis of coronary artery disease. Springer, 2020.
- Greenland P. et al. Coronary Calcium Score and Cardiovascular Risk. Journal of the American College of Cardiology, 2018.
- ESC Guidelines on cardiovascular disease prevention in clinical practice. European Heart Journal, 2021.

на МРТ/КТ* в Санкт-Петербурге