КТ (компьютерная томография) печени
Обновлено и проверено 15.02.26

КТ печени – не просто снимок, а способ увидеть, как орган справляется со скрытыми нагрузками. Эта статья поможет понять, в каких случаях стоит пройти обследование, как к нему подготовиться и что означают результаты.
Компьютерная томография печени в клиниках Санкт-Петербурга – это современный способ получения послойных изображений органа с высокой точностью. Метод основан на использовании рентгеновского излучения и позволяет визуализировать структуру печени, оценить её форму, плотность и выявить даже мелкие изменения, не заметные при обычных методах. Эта процедура помогает обнаружить различные патологии на ранней стадии, что имеет решающее значение для своевременного начала лечения. В отличие от ультразвукового исследования, КТ не зависит от навыков оператора и анатомических особенностей пациента, обеспечивая более стабильные и информативные результаты.
Что показывает КТ печени

Компьютерная томография печени позволяет специалистам получить детализированное представление о состоянии органа. На полученных изображениях чётко видны очертания печени, её объём, плотность тканей, а также возможные отклонения – кисты, новообразования, отложения кальция, зоны воспаления или жировой инфильтрации. Высокая точность метода делает возможным обнаружение изменений даже в глубоко расположенных участках, а также позволяет проследить, затронуты ли близлежащие анатомические структуры, включая желчный пузырь, поджелудочную железу, желудок и крупные сосудистые стволы.
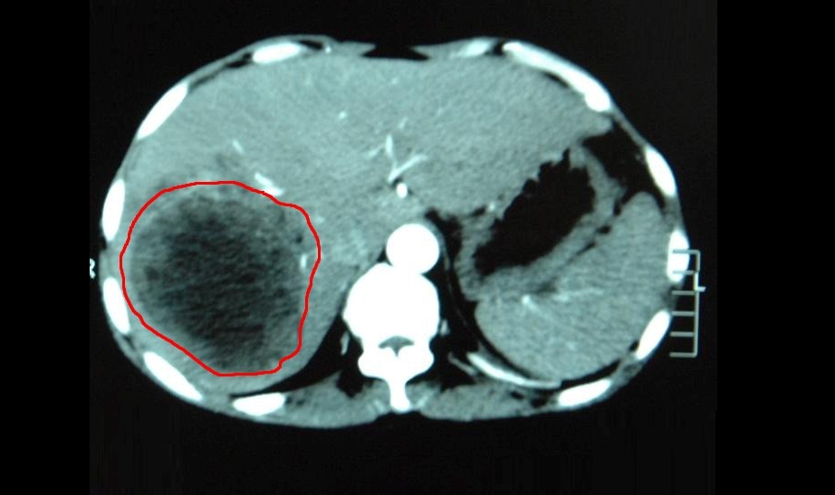
Особую ценность КТ имеет при диагностике очаговых образований. Метод помогает определить точные размеры и расположение опухоли, оценить её плотность, связь с сосудистыми структурами и другими анатомическими элементами. Также можно отличить доброкачественное образование от злокачественного по ряду характерных признаков, хотя окончательное заключение всегда требует гистологического подтверждения. При подозрении на метастазы из других органов КТ печени используется как метод скрининга и позволяет отследить множественные очаги поражения.
Контрастное усиление позволяет ещё точнее визуализировать сосудистую сеть печени и выявлять изменения, не заметные на нативных снимках. Это особенно важно при планировании хирургических вмешательств или оценке реакции на химиотерапию. КТ также помогает выявить тромбозы, аневризмы, сосудистые мальформации и патологии билиарной системы, включая расширение протоков и признаки холангита. Таким образом, исследование даёт полную картину состояния печени и помогает врачу выбрать оптимальную тактику лечения или наблюдения.
Показания к проведению

КТ печени назначается врачами СПб при подозрении на широкий круг заболеваний и патологических состояний. Среди основных показаний – наличие болей в правом подреберье, непроходящая тошнота, ощущение тяжести после еды, изменения в биохимических анализах крови, а также увеличение печени при физикальном осмотре. Также томография показана при необъяснимом снижении веса, повышении уровня печёночных ферментов и желтухе неизвестного происхождения. В каждом из этих случаев метод помогает выявить или исключить органические изменения, требующие лечения.
Часто КТ используется для уточнения результатов УЗИ, если его данные недостаточны или противоречивы. Исследование незаменимо при подозрении на опухолевые процессы – как первичные, так и метастатические. Оно также назначается при хроническом гепатите, циррозе, стеатозе, гепатозе и других диффузных изменениях печени для определения стадии заболевания и оценки риска осложнений. Ещё одним важным показанием является контроль состояния органа после операций, травм или в рамках наблюдения за ранее выявленными образованиями.
Дополнительно КТ может быть использовано при подготовке к трансплантации, радиологическим процедурам, биопсии или хирургическому вмешательству. Также метод нередко назначается пациентам с онкологическими заболеваниями других локализаций для исключения или подтверждения метастатического поражения печени. Важно, что решение о необходимости КТ всегда принимает врач на основании анамнеза, жалоб и предварительной диагностики. Самостоятельно инициировать обследование не рекомендуется, так как метод связан с лучевой нагрузкой и требует точного обоснования.
Противопоказания и ограничения к КТ печени
Несмотря на широкие диагностические возможности, КТ печени имеет ряд противопоказаний и ограничений. Основным фактором, ограничивающим проведение исследования, является лучевая нагрузка. Хотя современные томографы позволяют снизить её до минимально возможного уровня, КТ не назначается беременным женщинам из-за потенциального риска для плода. Также с осторожностью процедура проводится у детей и только по строгим медицинским показаниям.
Дополнительные ограничения возникают при использовании контрастного вещества. Пациентам с аллергией на йодсодержащие препараты, нарушением функции почек или тяжёлой сердечной недостаточностью необходимо альтернативное обследование либо предварительная подготовка с участием профильных специалистов. Также может быть противопоказано контрастное усиление у пациентов с сахарным диабетом, особенно если они принимают препараты на основе метформина, так как существует риск развития лактоацидоза при сниженной фильтрационной способности почек.
Кроме того, физические параметры пациента – вес и объём тела – могут повлиять на возможность проведения КТ. Большинство стандартных аппаратов рассчитаны на вес до 120–150 килограммов, и при превышении этого порога проведение исследования технически невозможно. Также могут возникнуть сложности при клаустрофобии, если пациент не переносит замкнутые пространства. В таких случаях может быть предложено медикаментозное успокоение или альтернатива в виде МРТ при отсутствии противопоказаний к ней.
Подготовка к исследованию

В большинстве случаев КТ печени без контраста не требует особой подготовки. Однако для повышения точности и информативности врачи рекомендуют не принимать пищу за 3-4 часа до обследования. Это позволяет уменьшить объём содержимого желудка и снизить вероятность появления артефактов на снимках. Важно также воздержаться от газообразующих продуктов за сутки до процедуры – особенно если исследование охватывает не только печень, но и прилегающие зоны.
Если планируется КТ с контрастированием, подготовка будет более строгой. Пациенту необходимо сдать анализ на уровень креатинина и мочевину, чтобы исключить скрытую почечную недостаточность. Также может потребоваться предварительная консультация терапевта или нефролога. Непосредственно перед процедурой следует исключить приём пищи минимум на 6 часов, но допускается питьё чистой воды. Если пациент принимает постоянные препараты, об этом необходимо сообщить врачу заранее – возможно, потребуется временная коррекция терапии.
Особое внимание уделяется пациентам с хроническими заболеваниями, в том числе эндокринными или сердечно-сосудистыми. В день обследования важно иметь при себе медицинские документы, амбулаторную карту, результаты анализов и предыдущие обследования (если таковые имеются), чтобы рентгенолог мог сопоставить данные и дать наиболее точное заключение. Вся информация о противопоказаниях, индивидуальных особенностях организма и возможных реакциях на контраст должна быть заранее сообщена персоналу клиники.
Как проходит процедура КТ печени

Компьютерная томография печени в центрах Санкт-Петербурга проводится в амбулаторных условиях и занимает в среднем от 5 до 15 минут. Пациент проходит в кабинет КТ, где его просят лечь на специальный стол в положении лёжа на спине. Перед началом процедуры медперсонал объясняет суть обследования, проверяет наличие противопоказаний и, при необходимости, вводит контрастное вещество внутривенно. Контраст усиливает визуализацию сосудов и помогает чётче различить патологические очаги.
Во время сканирования стол с пациентом медленно перемещается через кольцо томографа. Аппарат создаёт серию рентгеновских снимков, которые затем собираются в трёхмерную модель органа. Процедура абсолютно безболезненна и не требует от пациента никаких усилий, кроме сохранения неподвижности. Иногда врач может попросить ненадолго задержать дыхание – это необходимо для получения чётких изображений без смазанных контуров. Вся процедура проходит под наблюдением медицинского персонала через стеклянную перегородку, с возможностью голосовой связи.
По завершении обследования пациенту может быть предложено подождать 15–20 минут, особенно если вводился контраст – на случай отсроченной реакции. В течение ближайших часов рекомендуется пить больше жидкости, чтобы ускорить выведение контрастного вещества из организма. Результаты обычно готовятся в течение суток, но при необходимости возможно срочное заключение. После процедуры пациент может сразу вернуться к привычному распорядку дня.
КТ печени с контрастированием

Применение контрастного вещества при КТ печени значительно повышает чёткость визуализации сосудистой сети, тканей и потенциальных очагов патологии. Препарат, вводимый внутривенно, проходит через кровоток и делает видимыми особенности кровоснабжения печёночных структур. Это особенно ценно при выявлении опухолевых процессов, поскольку доброкачественные и злокачественные образования отличаются по степени и характеру накопления контраста. С его помощью становятся более отчётливыми участки воспаления, некротические изменения, а также нарушения в области желчевыводящих путей и лимфатической системы.
Обычно диагностическими отделениями СПб исследование с контрастом проводится в несколько этапов. Сначала делается нативная серия снимков – без контраста. Затем препарат вводится в вену и выполняются снимки в артериальную, портальную и отсроченную фазы. Каждая из них раскрывает различные характеристики тканей: первая показывает сосудистую насыщенность, вторая – венозный отток, третья – задержку контраста в очагах. Благодаря этому можно не только выявить новообразование, но и предположить его природу и активность.
Проведение КТ печени с применением контрастного усиления осуществляется только при наличии медицинских показаний и обязательно сопровождается предварительной проверкой состояния почек, поскольку именно они выводят контраст из организма. Пациента заранее информируют о возможных ощущениях во время введения препарата – кратковременное тепло по телу или необычный вкус во рту считаются типичной и быстро проходящей реакцией. Контрастное сканирование особенно эффективно при отслеживании опухолевого процесса, планировании хирургического вмешательства или оценке состояния после операции. Такой метод значительно повышает информативность исследования, но требует аккуратного подхода и соблюдения мер предосторожности.
Расшифровка и интерпретация результатов

После проведения КТ печени снимки передаются врачу-рентгенологу, который проводит их анализ и составляет подробное заключение. В документе указываются размеры и форма печени, плотность её ткани, наличие патологических включений, степень выраженности сосудистого рисунка, а также состояние прилегающих структур. Если были выявлены очаговые образования, описываются их контуры, размеры, плотность, особенности накопления контраста и предполагаемая природа – доброкачественная или злокачественная. Заключение оформляется в письменном виде и может включать как текстовую часть, так и изображения.
Интерпретация результатов требует клинического контекста: анализ крови, жалобы пациента, анамнез и данные других исследований. Врач-рентгенолог описывает изменения, но окончательный диагноз и дальнейшие действия определяет лечащий врач, чаще всего гастроэнтеролог, терапевт или онколог. В некоторых случаях для уточнения диагноза назначаются дополнительные обследования – МРТ, УЗИ, биопсия или лабораторные анализы. Также может потребоваться вторая расшифровка у другого специалиста, особенно если речь идёт о сложных или спорных случаях.
Результаты КТ в клиниках Санкт-Петербурга чаще всего предоставлены на бумажном носителе, в электронном виде или через интернет-сервисы клиники. Срок готовности заключения обычно составляет от 1 до 2 рабочих дней, но в экстренных случаях возможно срочное описание в течение часа. Пациентам важно сохранять снимки и заключение для динамического наблюдения, особенно при наличии хронических заболеваний или выявленных новообразований.
Альтернативные методы диагностики
Хотя КТ печени является одним из самых точных и универсальных методов визуализации, в некоторых случаях предпочтение может быть отдано другим диагностическим подходам. Наиболее распространённой альтернативой является ультразвуковое исследование, которое безопасно, доступно и не требует подготовки. УЗИ часто используется как первый этап диагностики, особенно при жалобах на боли в правом подреберье, изменениях в анализах или плановом осмотре. Однако точность УЗИ зависит от опыта врача и не всегда позволяет выявить глубокорасположенные или мелкие очаги.
Магнитно-резонансная томография печени предоставляет ещё более подробные изображения мягких тканей без использования рентгеновского излучения. МРТ особенно информативна при оценке диффузных заболеваний, новообразований, сосудистых патологий и состояний после хирургического вмешательства. Метод чаще применяется при противопоказаниях к КТ или необходимости более тонкой дифференцировки очагов. При этом МРТ требует больше времени и может быть сложнее для пациентов с клаустрофобией или наличием металлических имплантов.
В сложных онкологических случаях может назначаться ПЭТ-КТ – позитронно-эмиссионная томография в сочетании с КТ. Она позволяет оценить не только анатомическую структуру печени, но и метаболическую активность опухолевых клеток. Это ценно при планировании лечения, мониторинге реакции на химиотерапию и обнаружении скрытых метастазов. Также при необходимости уточнения диагноза применяется биопсия печени под контролем УЗИ или КТ – она даёт возможность получить образец ткани для гистологического анализа. Выбор метода зависит от конкретной клинической задачи и состояния пациента.
Как меняется печень с возрастом: зачем КТ в 30, 50 и 70 лет

С возрастом структура и функции печени претерпевают значительные изменения, даже если человек не имеет хронических заболеваний. У людей в возрасте до 30 лет печень, как правило, способна компенсировать многие нагрузки – от некачественного питания до токсического воздействия алкоголя и лекарств. Однако именно в этом возрасте КТ может быть полезной для раннего выявления врождённых аномалий, доброкачественных новообразований или последствий инфекционных заболеваний, которые не проявляются клинически.
В возрасте около 50 лет нередко формируются первые проявления хронических патологий. У многих развивается стеатоз – жировое перерождение печени, особенно при наличии лишнего веса или метаболического синдрома. Также к этому возрасту могут накапливаться последствия длительного приёма лекарств, снижается способность печени к восстановлению, и возрастает риск возникновения доброкачественных и злокачественных опухолей. КТ помогает выявить эти процессы на раннем этапе и отслеживать их динамику.
После 70 лет печень часто уменьшается в объёме, становится более плотной, в её ткани появляются фиброзные включения, нарушается кровоснабжение. В этом возрасте КТ особенно информативна при подозрении на цирроз, сосудистые патологии, а также при необходимости дифференцировать первичные опухоли от метастатических. Для пожилых пациентов КТ позволяет быстро и точно оценить состояние органа без необходимости инвазивных процедур, что особенно важно при наличии сопутствующих заболеваний и сниженной переносимости других видов диагностики.
КТ печени при онкологии: от диагностики до контроля лечения

КТ печени играет ключевую роль в онкологической практике – как для первичной диагностики опухолей, так и для контроля за их лечением. Метод позволяет выявить новообразования различных типов: гепатоцеллюлярную карциному, холангиокарциному, доброкачественные аденомы, гемангиомы, а также метастазы из других органов. Сканирование с контрастом даёт возможность точно определить размеры, контуры, структуру образования, его васкуляризацию и вовлечённость соседних тканей.
КТ используется не только для первичного выявления опухоли, но и для стадирования процесса: оценка поражения сосудов, лимфатических узлов и отдалённых органов позволяет выбрать оптимальную тактику лечения. При проведении химиотерапии, радиотерапии или таргетной терапии метод позволяет оценить реакцию опухоли на лечение – уменьшилась ли она, изменилась ли плотность, появились ли новые очаги. Это особенно важно для корректировки схемы терапии и своевременного принятия решений.
Также КТ применяется на этапах подготовки к операции, в том числе при резекции доли печени или трансплантации. Сканирование позволяет хирургам точно рассчитать объём вмешательства, учесть анатомические особенности и минимизировать риски. Послеоперационные КТ-контроли необходимы для оценки заживления тканей, выявления возможных осложнений и исключения рецидивов. Таким образом, метод сопровождает пациента на всех этапах лечения и помогает достичь максимально точных результатов.
Печень и образ жизни: что может «рассказать» КТ

Печень – один из самых чувствительных к образу жизни органов, и изменения в её структуре часто становятся отражением накопленных привычек. КТ позволяет увидеть те последствия, которые не всегда проявляются симптомами, но говорят о скрытых проблемах. Например, у людей с длительным употреблением алкоголя могут появляться признаки жировой инфильтрации, фиброз, расширение сосудов и участки некроза. Это особенно заметно при обследовании с контрастированием.
У пациентов с избыточным весом, нарушением обмена веществ или низкой физической активностью КТ нередко выявляет стеатоз – накопление жира в печёночных клетках. На снимках это проявляется снижением плотности ткани печени. На ранних этапах такие изменения обратимы при коррекции питания и образа жизни, но при длительном игнорировании они могут перейти в воспаление и фиброз. Таким образом, КТ помогает не только выявить диагноз, но и служит стимулом к изменению привычек.
Даже у внешне здоровых людей КТ может выявить последствия приёма определённых препаратов, спортивного питания, токсического воздействия на печень или хронического стресса. Регулярные профилактические обследования особенно полезны для людей, работающих с химическими веществами, проходящих длительное лечение или ведущих малоподвижный образ жизни. Печень отражает не только биохимические показатели, но и общее состояние организма, и КТ помогает прочитать этот сигнал раньше, чем появятся серьёзные симптомы.
Реальные истории: что показало КТ печени
Иногда именно КТ печени помогает выявить опасные изменения, которые долгое время оставались скрытыми. Так, у мужчины 42 лет из СПб с незначительными жалобами на тяжесть в правом боку УЗИ не выявило отклонений, но КТ с контрастом показала раннюю стадию очагового поражения – впоследствии диагноз подтвердился как доброкачественная аденома, которую удалось удалить минимально инвазивно. Без томографии новообразование могло остаться незамеченным на годы.
В другом случае жительница Санкт-Петербурга 56 лет обратилась с жалобами на быструю утомляемость и плохой аппетит. Анализы были в пределах нормы, но КТ выявила участки диффузного фиброза и неравномерную структуру печени. Врач поставил диагноз – начальный цирроз, связанный с длительным приёмом обезболивающих. Благодаря своевременной диагностике удалось скорректировать лечение и замедлить прогрессирование болезни.
Молодой человек 29 лет прошёл КТ по собственной инициативе в рамках комплексного чекапа. Не имея никаких жалоб, он был удивлён, когда исследование выявило выраженный стеатоз. При детальном опросе выяснилось, что он активно употреблял спортивные добавки и фастфуд, а физическая нагрузка была минимальной. Осознание диагноза стало для него точкой отсчёта в смене образа жизни и предотвращении осложнений.
FAQ
Можно ли делать КТ печени при наличии гепатита?
Да, КТ печени может выполняться при гепатите (вирусном, алкогольном, аутоиммунном). Исследование позволяет оценить структуру печени, выявить признаки фиброза, цирроза, а также исключить наличие опухолей, которые могут развиваться на фоне хронического воспаления. Однако при остром гепатите с высокой активностью ферментов и выраженными симптомами интоксикации проведение КТ может быть отложено до стабилизации состояния. Решение принимает лечащий врач на основе клинической картины и необходимости диагностики.
Можно ли делать КТ печени с контрастом при сахарном диабете?
КТ печени с контрастом у пациентов с сахарным диабетом возможно, но требует особого внимания. Особую осторожность следует соблюдать при приеме метформина: препарат отменяют за 48 часов до и после процедуры из-за риска развития лактатацидоза на фоне возможного временного ухудшения функции почек после введения контраста. Перед исследованием обязательно оценивается уровень креатинина и скорость клубочковой фильтрации. При нормальной функции почек и отсутствии других противопоказаний процедура безопасна.
Можно ли делать КТ печени после биопсии печени?
КТ печени после биопсии может выполняться, но важно соблюсти временной интервал. После пункционной биопсии печени рекомендуется выждать не менее 7-14 дней, особенно если исследование планируется с контрастированием. Это необходимо для минимизации риска кровотечения из места пункции. В экстренных случаях (подозрение на осложнения после биопсии) КТ может быть выполнено немедленно по жизненным показаниям. Предварительно необходимо сообщить рентгенологу о недавно проведенной биопсии.
Можно ли делать КТ печени при асците (скоплении жидкости в животе)?
КТ печени при асците выполнима и часто даже более информативна, чем УЗИ, так как томография позволяет четко визуализировать печень даже при наличии большого количества жидкости в брюшной полости. Метод помогает выявить причину асцита: цирроз печени, опухолевое поражение брюшины, тромбоз воротной вены. Контрастное усиление может быть ограничено при выраженной почечной недостаточности, которая иногда сопровождает тяжелые заболевания печени, поэтому перед процедурой обязательно оценивается функция почек.
Почему перед КТ печени с контрастом важно знать уровень альбумина?
Уровень альбумина является важным показателем синтетической функции печени. Снижение альбумина (гипоальбуминемия) характерно для цирроза, тяжелого гепатита, декомпенсированной печеночной недостаточности. У таких пациентов нарушено связывание и выведение контрастного вещества, что может увеличивать риск токсического воздействия на почки. Кроме того, наличие тяжелого поражения печени может влиять на безопасность введения контраста. Поэтому перед КТ с контрастированием врач оценивает не только почечную функцию, но и печеночные показатели (альбумин, билирубин, коагулограмму).
Список литературы
- Centers for Disease Control and Prevention (CDC). Liver Cancer Basics. URL: https://www.cdc.gov/liver-cancer/about/index.html (10 июня 2025). CDC.
- World Health Organization (WHO). Cancer — fact sheet. URL: https://www.who.int/news-room/fact-sheets/detail/cancer (3 февраля 2025).
- Singal A.G., Llovet J.M., Yarchoan M., Mehta N., Heimbach J.K., Dawson L.A., et al. AASLD Practice Guidance on prevention, diagnosis, and treatment of hepatocellular carcinoma. Hepatology. 2023;78(6):1922–1965. doi:10.1097/HEP.0000000000000466. URL: https://pubmed.ncbi.nlm.nih.gov/37199193/ PubMed.
- American College of Radiology. ACR Manual on Contrast Media. URL: https://www.acr.org/Clinical-Resources/Clinical-Tools-and-Reference/Contrast-Manual (разделы обновлены в 2025).
- European Association for the Study of the Liver (EASL). New EASL Clinical Practice Guidelines on Hepatocellular Carcinoma (HCC). URL: https://easl.eu/news/easl-cpgs-hcc/ (16 декабря 2024).
- Мещеряков А.Б., Гребенюк А.Н. Компьютерная томография в диагностике заболеваний печени. – М.: МЕДпресс-информ, 2020.
- Ильченко Л.Ю. Болезни печени и желчевыводящих путей: Руководство для врачей. – М.: ГЭОТАР-Медиа, 2021.
- Макаров И.В., Гусаков Ю.А. Лучевая диагностика в гастроэнтерологии: современные подходы. – СПб.: СпецЛит, 2019.
- R. Grainger, A. Allison. Diagnostic Radiology: Hepatobiliary Imaging. – Elsevier, 2022.

на МРТ/КТ* в Санкт-Петербурге