КТ (компьютерная томография) надпочечников
Обновлено и проверено 23.11.25

КТ надпочечников помогает выявить опухоли, воспаления и структурные изменения, влияющие на гормональный фон. В статье – кому и зачем назначают КТ, как проходит процедура и когда лучше сделать её с контрастом.
Компьютерная томография надпочечников представляет собой высокоточный метод визуализации, позволяющий оценить структуру этих небольших, но жизненно важных желез. Обследование проводят с целью обнаружения новообразований, выявления очагов воспаления или оценки изменений, вызванных нарушением гормонального баланса. КТ в современных диагностических центрах Санкт-Петербурга даёт возможность получить послойные снимки с высокой детализацией, что особенно важно в случае подозрения на патологии, не проявляющиеся клинически. Этот метод особенно ценен в диагностике тех случаев, когда УЗИ не даёт чёткого представления о состоянии надпочечников, а анализы крови указывают на гормональные нарушения неясного происхождения.
Анатомия и функции надпочечников
.png)
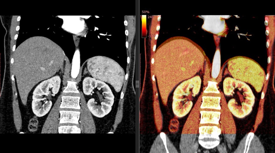
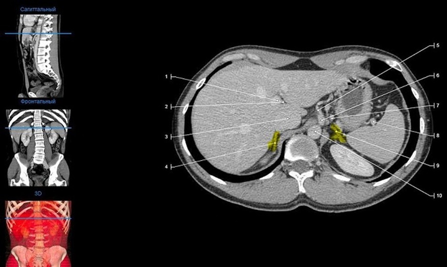
Надпочечники представляют собой небольшие парные железы, расположенные непосредственно над почками. Несмотря на скромный размер, они выполняют важнейшие функции в регуляции гормонального фона. Каждая железа состоит из двух самостоятельных компонентов: коркового слоя и мозгового вещества, отличающихся по строению и задачам. В корковом слое синтезируются стероидные гормоны, включая кортизол, альдостерон и андрогены, которые отвечают за обменные процессы, водно-солевое равновесие, кровяное давление и стрессоустойчивость. Мозговая часть продуцирует катехоламины – адреналин и норадреналин, запускающие механизмы экстренной адаптации организма.
Нарушения в работе надпочечников могут проявляться как явной клиникой, так и скрыто, влияя на другие системы организма. Например, избыточная выработка кортизола приводит к синдрому Иценко-Кушинга, а недостаток альдостерона – к снижению давления и нарушению работы почек. Кроме того, надпочечники могут становиться источником опухолей – как гормонально активных, так и инертных. Такие образования часто обнаруживаются случайно, при обследовании по другим показаниям. Именно поэтому визуализация надпочечников с помощью КТ становится важным этапом в дифференциальной диагностике множества эндокринных и нефрологических состояний.
Точная оценка состояния надпочечников требует детального анализа их размеров, симметрии, формы и структуры. КТ позволяет различить изменения, которые невозможно определить другими методами визуализации. Например, плотные кальцифицированные участки, некрозы, жировые включения или кровоизлияния становятся заметны только на томографических изображениях. Это делает КТ надпочечников незаменимым инструментом как в первичной диагностике, так и при наблюдении динамики ранее выявленных патологий.
Показания к КТ надпочечников

Компьютерная томография надпочечников назначается при широком спектре клинических состояний. Наиболее частым показанием становится подозрение на наличие опухолей. Это могут быть как доброкачественные образования, например, аденомы, так и злокачественные – карциномы или метастазы из других органов. Также КТ назначают при стойкой артериальной гипертензии, особенно если она сопровождается гипокалиемией, что может указывать на первичный гиперальдостеронизм. В таких случаях КТ помогает визуализировать образование, ответственное за избыточную секрецию гормонов.
Другим показанием является внезапное повышение уровня кортизола или андрогенов в крови, особенно у женщин, у которых возникают признаки маскулинизации. Это может быть связано с гормонально активной опухолью коры надпочечников. КТ также назначается при подозрении на феохромоцитому – новообразование мозгового вещества, продуцирующее адреналин и норадреналин. Такие опухоли опасны резкими скачками давления и требуют точной визуализации перед оперативным лечением.
Плановые обследования с использованием КТ в клиниках СПб проводятся также при динамическом наблюдении за ранее выявленными новообразованиями, при подготовке к хирургическому вмешательству или в рамках расширенной диагностики при онкологических заболеваниях других органов. Кроме того, КТ показана при травмах поясничной области, когда существует вероятность повреждения надпочечников, а также при хронической усталости, потере веса, гиперпигментации кожи и других признаках, указывающих на возможную надпочечниковую недостаточность. В этих случаях метод позволяет выявить воспаления, кровоизлияния или атрофию желез, которые не определяются клинически.
Противопоказания и ограничения
Несмотря на высокую точность и информативность, КТ надпочечников имеет ряд ограничений и противопоказаний, которые важно учитывать перед назначением процедуры. Одним из ключевых факторов является воздействие ионизирующего излучения. Хотя дозы, используемые при КТ, строго контролируются и минимальны, беременность остаётся абсолютным противопоказанием, особенно в первом триместре. Женщинам репродуктивного возраста рекомендуется предварительно исключить беременность перед обследованием. Относительным ограничением может стать детский возраст, при котором КТ применяют только по строгим медицинским показаниям и с учётом потенциальной пользы и риска.
Отдельное внимание следует уделить контрастному усилению. Если планируется введение контрастного вещества, существуют дополнительные противопоказания. К ним относятся тяжёлые формы почечной недостаточности, аллергия на йодсодержащие препараты, декомпенсированный сахарный диабет и заболевания щитовидной железы, особенно тиреотоксикоз. Пациентам с бронхиальной астмой или предыдущими реакциями на контраст также следует заранее информировать врача. В таких случаях возможно использование альтернативных методов обследования или проведение КТ без контраста.
Ограничения могут касаться и технических аспектов. Пациенты с выраженным ожирением, превышающим допустимую нагрузку для томографа, не всегда могут быть обследованы на стандартном оборудовании. Кроме того, у людей с клаустрофобией нахождение в тоннеле аппарата может вызывать психологический дискомфорт. Для них возможно применение успокаивающих препаратов или выбор аппаратов открытого типа, если таковые доступны. В любом случае все потенциальные противопоказания должны обсуждаться с врачом до назначения исследования.
Подготовка к обследованию

Подготовка к КТ надпочечников в медцентрах СПб зависит от формата проведения – с контрастным усилением или без него. При проведении сканирования без контраста предварительная подготовка минимальна. Пациенту достаточно прийти в назначенное время, желательно натощак или после лёгкого перекуса не позднее чем за два часа до процедуры. Рекомендуется отказаться от употребления газированных напитков и жирной пищи за день до обследования, чтобы снизить риск вздутия кишечника, способного ухудшить визуализацию надпочечников.
Если планируется проведение КТ с контрастом, требуется более серьёзная подготовка. Обычно врачи рекомендуют не есть за четыре-шесть часов до процедуры и не употреблять жидкость минимум за два часа. При наличии хронических заболеваний почек, диабета или сердечно-сосудистой системы необходимо предварительно сдать анализ крови на креатинин и мочевину – это позволяет оценить функцию почек и определить допустимость введения контрастного вещества. В некоторых случаях пациенту может быть назначено предварительное медикаментозное сопровождение, особенно при повышенном риске аллергических реакций.
На обследование необходимо взять с собой документы: паспорт, полис (если обследование проводится по страховке), направление врача и, при наличии, результаты предыдущих исследований. Также желательно иметь с собой медицинскую карту с выписками о перенесённых заболеваниях, особенно если планируется консультация после обследования. Перед началом процедуры пациента попросят снять все металлические предметы, включая украшения и аксессуары. Важно соблюдать все рекомендации медицинского персонала, чтобы получить максимально точные и информативные результаты.
Как проходит КТ надпочечников

Процедура компьютерной томографии надпочечников представляет собой безопасное, относительно быстрое и технически чётко выстроенное обследование. Перед началом пациент проходит регистрацию и краткое медицинское интервью с сотрудником клиники. После этого его приглашают в томографический кабинет, где предлагают снять металлические предметы и лечь на выдвижной стол аппарата. Положение пациента фиксируется для исключения лишних движений, так как даже незначительное смещение может повлиять на качество снимков.
Сканирование проводится в положении лёжа, обычно на спине. Стол медленно задвигается в кольцо томографа, внутри которого расположены рентгеновские датчики. Аппарат начинает вращаться, создавая послойные изображения исследуемой области. Во время процедуры важно сохранять полную неподвижность, а по команде медицинского персонала – задерживать дыхание на несколько секунд. Это необходимо для устранения артефактов, вызванных движением диафрагмы. Весь процесс занимает от 5 до 15 минут в зависимости от сложности исследования.
Если используется контрастное усиление, перед сканированием внутривенно вводят препарат на основе йода. В момент введения пациент может почувствовать лёгкое тепло или привкус металла во рту – это нормальная реакция. После завершения обследования пациенту рекомендуется в течение дня пить больше жидкости, чтобы ускорить выведение контраста из организма. Результаты исследования, как правило, доступны через 1-2 дня, а в некоторых клиниках – уже через несколько часов. Врач-рентгенолог подготавливает заключение, описывающее выявленные изменения, и, при необходимости, рекомендует дальнейшие шаги для диагностики или лечения.
Что показывает КТ

Компьютерная томография надпочечников обеспечивает детальное изображение этих желез и прилегающих структур, что особенно ценно при подозрении на малозаметные или сложные для диагностики нарушения. В отличие от ультразвукового исследования, КТ позволяет рассматривать надпочечники в объёмной проекции с высокой чёткостью. Снимки позволяют врачу оценить форму, размеры, симметрию, плотность тканей и выявить даже небольшие патологические изменения. Благодаря послойному сканированию можно зафиксировать мельчайшие отклонения, что существенно повышает точность диагностики и помогает выявлять проблемы на самых ранних этапах.
Среди наиболее частых находок – доброкачественные новообразования, такие как аденомы, которые отличаются от окружающей ткани по плотности и структуре. Также КТ может выявить феохромоцитомы, злокачественные опухоли, метастатические поражения, кисты или гиперплазию. Важную диагностическую роль играют данные о гомогенности ткани, наличии кальцинатов, некротических участков и особенностях сосудистого рисунка. При подозрении на воспалительные или дегенеративные изменения, КТ позволяет оценить степень вовлечения соседних структур – почек, сосудов, лимфоузлов.
Кроме того, КТ надпочечников незаменима при посттравматических состояниях, когда важно выявить гематомы, разрывы или кровоизлияния, не затрагивающие внешнюю поверхность. Это исследование также полезно для наблюдения в динамике – при уже установленном диагнозе, после операции или во время контроля химиотерапии. Благодаря высокой чувствительности КТ помогает уточнить клиническую картину и принять решение о необходимости дополнительных обследований или вмешательств.
Расшифровка результатов

После проведения КТ надпочечников все полученные снимки подвергаются анализу специалистом-рентгенологом, который оформляет подробное заключение. В нём описываются анатомические особенности желез, их размеры, форма, контуры, плотность тканей, а также наличие возможных патологических изменений. При обнаружении образований врач указывает их точное расположение, особенности структуры – однородна она или нет, чёткость границ, а также поведение при контрастировании, если оно применялось. Такие характеристики позволяют предположить природу образования и отличить доброкачественные находки от потенциально опасных.
Заключение врача может также включать информацию о прилегающих органах и тканях, если выявлены изменения, способные повлиять на интерпретацию результатов. В отдельных случаях рентгенолог может указать на необходимость дополнительного исследования, например, МРТ или биопсии, если КТ даёт неоднозначную картину. При наличии сомнительных находок, которые не удаётся точно охарактеризовать, может быть рекомендовано повторное обследование спустя несколько месяцев.
Важно понимать, что расшифровка КТ не является окончательным диагнозом. Она представляет собой врачебное мнение, основанное на визуальных признаках, и требует обсуждения с лечащим специалистом – эндокринологом, онкологом, нефрологом или хирургом. Только совместный анализ всех клинических данных, включая лабораторные исследования и жалобы пациента, позволяет установить точный диагноз и выбрать тактику лечения. Пациенту рекомендуется сохранять копию заключения и снимков, чтобы в будущем была возможность обратиться за вторым мнением, если потребуется.
КТ с контрастом: когда необходимо
Применение контрастного вещества при компьютерной томографии надпочечников используется не всегда, но в ряде клинических ситуаций оно становится незаменимым. Контраст позволяет более чётко различать ткани с разной степенью кровоснабжения, выявлять особенности сосудистого русла и усиливать визуализацию структур, имеющих неравномерную плотность. Это особенно важно при дифференциации опухолей: злокачественные новообразования обычно накапливают контраст активнее и медленнее его выводят, в отличие от доброкачественных образований, таких как аденомы.
Контрастное усиление показано в тех случаях, когда на обычных снимках наблюдаются образования неясной природы, при подозрении на феохромоцитому, при подготовке к хирургическому вмешательству или при поиске метастазов. Также оно используется для оценки степени васкуляризации опухолей, выявления некротических участков или воспалительных изменений. Введение контрастного вещества позволяет получить серию снимков в разные фазы кровотока, что повышает информативность исследования и помогает избежать ошибок при интерпретации.
Решение о необходимости введения контраста принимает врач, учитывая клинические показания, анамнез пациента и результаты предыдущих исследований. Хотя контрастные вещества в большинстве случаев переносятся хорошо, пациенту может быть рекомендовано предварительное обследование функции почек, чтобы исключить возможные осложнения. Также при наличии у пациента аллергии на йодсодержащие препараты проводится дополнительная подготовка или выбираются альтернативные методы диагностики. Несмотря на дополнительные расходы и возможный дискомфорт, контрастное усиление значительно расширяет диагностические возможности КТ и позволяет врачам диагностических отделений Санкт-Петербурга принимать более точные и обоснованные решения.
КТ и МРТ надпочечников: сравнительный обзор

При выборе метода визуализации надпочечников врачи чаще всего рассматривают компьютерную томографию и магнитно-резонансную томографию. Оба метода имеют свои преимущества, однако решающим фактором становится цель исследования. КТ – быстрый и доступный способ оценки плотности тканей и выявления образований с чёткой анатомической привязкой. Она особенно эффективна при выявлении кальцинатов, кровоизлияний, костных изменений и чёткой дифференциации между жировыми и мягкотканными структурами. Этот метод предпочтителен при подозрении на аденому или при необходимости срочной диагностики.
МРТ, в свою очередь, обеспечивает более высокую контрастность мягких тканей без использования ионизирующего излучения. Она даёт преимущество при анализе сосудистых структур, новообразований с нестандартной плотностью, а также при оценке инвазии опухоли в прилежащие ткани. МРТ чаще назначают при плановом обследовании пациентов с хроническими заболеваниями, детям, беременным женщинам (во втором и третьем триместрах) и людям с противопоказаниями к контрасту, основанному на йоде.
Таким образом, КТ лучше подходит для быстрой, структурной оценки и выявления массивных изменений, тогда как МРТ используется в сложных, неоднозначных случаях, требующих детализации. Часто эти методы не конкурируют, а дополняют друг друга, особенно если первоначальные данные требуют углублённой визуализации или уточнения характера выявленного образования.
Когда «картинки» важнее анализов

В некоторых случаях визуализация становится решающим элементом диагностики, даже если лабораторные исследования не дают точной картины. Анализы крови и мочи могут показывать косвенные признаки гормонального дисбаланса, но не всегда позволяют определить его причину. Например, повышение уровня кортизола или андрогенов у пациента может быть вызвано опухолью надпочечников, а может – стрессом, приёмом медикаментов или нарушением работы гипофиза. Только визуализация может подтвердить наличие или отсутствие анатомического источника проблемы.
КТ надпочечников особенно актуальна при так называемых «немых» опухолях – образованиях, которые не проявляются клинически и не влияют на уровень гормонов, но могут нести потенциальную угрозу. Также она необходима, когда результаты анализов противоречивы или дают атипичную картину. Например, при подозрении на феохромоцитому стандартные тесты могут не дать результата, тогда как КТ с контрастом позволяет визуализировать активное, хорошо васкуляризированное образование.
Иногда именно визуальные данные становятся основанием для оперативного вмешательства или более углублённого обследования. Это касается и онкологических настороженностей, и доброкачественных, но быстро растущих опухолей. В таких случаях откладывание визуализации может привести к упущенному времени и осложнению ситуации. Поэтому, если клинические признаки нестабильны или прогрессируют, а лабораторные показатели не дают ясности, КТ становится первым шагом к постановке диагноза.
Надпочечники и стресс: где связь?

Надпочечники – главные участники стресс-ответа организма. При любом физическом или эмоциональном напряжении они вырабатывают кортизол и адреналин, регулирующие давление, уровень сахара в крови и общее состояние бодрствования. При кратковременном стрессе это полезно, но при хроническом – может привести к перегрузке и функциональным сбоям. Длительная гиперпродукция гормонов вызывает изменения в структуре желез, которые со временем становятся заметны при визуализации.
КТ надпочечников может выявить гиперплазию коры, признаки истощения, а также вторичные изменения, такие как микроаденомы. У пациентов с хронической усталостью, нарушением сна, колебаниями давления и лишним весом часто обнаруживаются изменения в надпочечниках, хотя клинически они могут не проявляться. Также стресс провоцирует развитие гормонально активных образований или ускоряет рост уже существующих опухолей.
Кроме того, стресс влияет на обострение уже имеющихся заболеваний, таких как аутоиммунные процессы, сахарный диабет или гипертония, а надпочечники в таких условиях работают на пределе. Именно поэтому врачи нередко рекомендуют КТ при жалобах на устойчивое ухудшение самочувствия без явных причин, особенно в сочетании с признаками дисфункции эндокринной системы. Выявление изменений на ранней стадии помогает не только в постановке диагноза, но и в выстраивании индивидуального плана восстановления гормонального фона.
Кто в группе риска и должен обследоваться

Компьютерная томография надпочечников может быть рекомендована не только при наличии явных симптомов, но и в профилактических целях – для людей, входящих в группу риска. В первую очередь это пациенты с артериальной гипертонией, особенно если давление нестабильно или с трудом поддаётся лечению. Часто причиной становится гормонально активная опухоль надпочечников, которая продуцирует вещества, усиливающие сосудистый тонус. Также в зону риска входят люди с ожирением, метаболическим синдромом и нарушениями углеводного обмена, поскольку эти состояния нередко связаны с повышенной нагрузкой на эндокринную систему.
Обследование рекомендуется пациентам с подозрением на гормональные сбои: нарушение менструального цикла, резкое изменение веса, рост волос по мужскому типу у женщин, хроническая усталость и тревожность без внешних причин. Необходимость КТ может возникнуть и у людей, проходящих длительную гормональную терапию или приём стероидных препаратов – для оценки состояния надпочечников и исключения побочных изменений. Кроме того, обязательным показанием становится наличие образований в других органах, при которых требуется исключить вторичное поражение надпочечников, например, при раке лёгких, молочной железы или желудочно-кишечного тракта.
Как сэкономить, не потеряв в качестве обследования
Сделать КТ надпочечников в СПб качественно и при этом не переплачивать – вполне возможно, если подойти к вопросу осознанно. Во-первых, стоит обратить внимание на формат записи. Через агрегаторы медицинских услуг, такие как mrt-vspb, можно выбрать клинику в Санкт-Петербурге с подходящим оборудованием и условиями, получив при этом ощутимую скидку. Такой способ позволяет сравнить предложения разных центров, заранее узнать, что включено в стоимость, и избежать ненужных переплат за второстепенные опции.
Во-вторых, стоит уточнять, входят ли в базовую стоимость расшифровка, диск или электронная передача результатов. В ряде случаев консультация врача-рентгенолога может быть платной опцией. Третий способ – выбрать вечернее или дневное время буднего дня, когда стоимость обследования может быть ниже. И наконец, не стоит переплачивать за бренд – многие небольшие клиники с новым оборудованием предлагают не менее точную диагностику, чем крупные центры, но по более доступной цене.
Список литературы
- Fassnacht M., Tsagarakis S., Terzolo M., Tabarin A., Sahdev A., Newell-Price J., et al. European Society of Endocrinology clinical practice guidelines on the management of adrenal incidentalomas, in collaboration with the European Network for the Study of Adrenal Tumors // European Journal of Endocrinology. — 2023. — Т. 189, № 1. — С. G1–G42. — DOI: 10.1093/ejendo/lvad066. — URL: https://pubmed.ncbi.nlm.nih.gov/37318239/ (дата публикации: 20.07.2023). PubMed.
- Mayo-Smith W.W., Song J.H., Boland G.L., Francis I.R., Israel G.M., Mazzaglia P.J., et al. Management of Incidental Adrenal Masses: A White Paper of the ACR Incidental Findings Committee // Journal of the American College of Radiology. — 2017. — Т. 14, № 8. — С. 1038–1044. — DOI: 10.1016/j.jacr.2017.05.001. — URL: https://pubmed.ncbi.nlm.nih.gov/28651988/ (дата публикации: 23.06.2017; печать: 08.2017). PubMed.
- Johnson P.T., Horton K.M., Fishman E.K. Adrenal imaging with multidetector CT: evidence-based protocol optimization and interpretative practice // Radiographics. — 2009. — Т. 29, № 5. — С. 1319–1331. — DOI: 10.1148/rg.295095026. — URL: https://pubmed.ncbi.nlm.nih.gov/19755598/ (дата публикации: 01.09.2009). PubMed.
- Expert Panel on Urological Imaging; Mody R.N., Remer E.M., Nikolaidis P., Khatri G., Dogra V.S., et al. ACR Appropriateness Criteria® Adrenal Mass Evaluation: 2021 Update // Journal of the American College of Radiology. — 2021. — Т. 18, № 11S. — С. S251–S267. — DOI: 10.1016/j.jacr.2021.08.010.
- Albano D., Agnello F., Midiri F., Pecoraro G., Bruno A., Alongi P., et al. Imaging features of adrenal masses // Insights into Imaging. — 2019. — Т. 10, № 1. — Ст. 1. — DOI: 10.1186/s13244-019-0688-8.
- Нормативная анатомия и патология надпочечников в визуальной диагностике. Под ред. А.Ю. Чурилкина. – М.: Медицина, 2021.
- Клиническая эндокринология. Руководство для врачей / Е.А. Баранцева, Т.М. Васильева. – СПб: Питер, 2020.
- Практическое руководство по КТ-диагностике. Том II. Внутренние органы. / Составитель: Н.В. Елисеев. – М.: ГЭОТАР-Медиа, 2022.
- Радиология надпочечников. Иллюстрированное пособие / Дж. Блейк, М. Стюарт. – Пер. с англ. – М.: БИНОМ, 2019.

на МРТ/КТ* в Санкт-Петербурге
