Флюороз
Обновлено и проверено 03.05.26

Флюороз вызывает регулярное длительное попадание в организм избыточного количества фтора, которое провоцирует поражение эмали зубов.
Формы флюороза
Флюороз классифицируется на:
- Профессиональный. Он часто встречается у работников алюминиевой промышленности. К нарушению приводит высокое содержание фтора в воздухе.
- Эндемический. Его диагностируют в регионах с высоким содержанием фтора в воде. В зависимости от вида патологии у жителей на внешней стороне зубов располагаются пятна различной формы и цвета.
Почему появляется болезнь
Вызывает это заболевание повышенная концентрация фтора, регулярно попадающая в организм, чаще всего с растворенными в воде фторидами, так как содержащийся в продуктах микроэлемент усваивается лишь частично. От повышенного содержания фтора в основном страдают дети в период закладки коренных зубов и формирования скелета. При превышении фтора более 6 миллиграмм на литр патология может возникнуть и в сформированных тканях у взрослых.
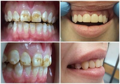
Симптоматика при флюорозе

- При меловидно-крапчатой форме эмаль становится желтовато-матовой, на ней видны четкие пигментные пятна. Разрушения глубиной до 0,2 миллиметров позволяют рассмотреть оголенный дентин. Поражены все зубы;
- Штриховая форма считается наиболее легкой, отличается появлением на резцах темных полос и штрихов, которые на сухой поверхности видны намного отчетливее. На ранних стадиях диагностировать ее сложно;
- Деструктивный флюороз поражает не только эмаль, но и твердые части зуба. Помимо пятен они имеют сколы и другие дефекты. Разрушение дентина не может быть скомпенсировано силами организма, поэтому ткани становятся хрупкими, что приводит к полной потере зуба;
- При пятнистой форме на эмали появляются белые пятна с блестящей гладкой поверхностью, которые со временем могут становиться желтыми или светло-коричневыми;
- Эрозивная форма характеризуется наличием полностью разрушающей эмаль эрозии. Она приводит к поражению жевательной поверхности, затрагивая и дентин.
При обнаружении на зубах участков с разрушениями необходимо обратиться к стоматологу.
Методы диагностики флюороза
Несмотря на то, что некоторые формы флюороза сходны по симптомам с кариесом, для постановки диагноза специалисту достаточно провести поверхностный осмотр. В некоторых случаях врач может направить на рентгенографию или компьютерную томографию челюсти.
Терапия нарушения
Лечение требует комплексного подхода. Он включает:
- Реминерализирующую терапию;
- Отбеливающие процедуры;
- Реставрационные работы, например установку керамических виниров или светоотвердивающих композитов;
- Ортопедическую помощь, включая установку зубных коронок.
Кроме того при обнаружении флюороза необходимо отправить пробу питьевой воды на анализ фтора. Если подтвердится его повышенная концентрация, то следует заменить источник воды.
Кто входит в группу риска
В первую очередь подвержены заболеванию дети в возрасте до 4-х лет и люди, проживающие в районах с повышенным содержанием фтора в питьевой воде.
Как не допустить развитие флюороза
Чтобы избежать флюороза необходимо:
- Необходимо отказаться от фторсодержащих зубных паст;
- Контролировать количество этого микроэлемента поступающего с пищей и водой;
- Несколько раз в год проходить стоматологический осмотр;
- Перейти на рациональное питание.
FAQ
Можно ли вылечить флюороз зубов?
Полностью восстановить эмаль при флюорозе (пятнистой, эрозивной, деструктивной формах) невозможно, так как изменения структуры эмали необратимы. Однако современные методы реставрации (микроабразия, отбеливание, реминерализация, установка виниров, коронок) позволяют устранить косметический дефект, укрепить эмаль и предотвратить дальнейшее разрушение. Лечение должно сопровождаться исключением избыточного поступления фтора (фильтрация воды, отказ от фторсодержащих паст). При штриховой форме возможна полная реминерализация.
Как отличить флюороз от кариеса на начальной стадии?
При флюорозе: пятна множественные, симметричные, поражают все зубы (резцы, клыки, премоляры), границы размытые, чаще на вестибулярной поверхности, эмаль гладкая, блестящая, не меняется при зондировании. При кариесе: пятно одиночное, асимметричное, чаще в фиссурах или пришеечной области, эмаль матовая, шероховатая, при зондировании — шероховатость. Дифференциальная диагностика: проба с метиленовым синим (при кариесе пятно окрашивается), определение уровня фтора в моче/воде, при сложных случаях — КТ челюсти.
Можно ли делать КТ челюсти при флюорозе?
КТ челюсти (конусно-лучевая КТ, КЛКТ) при флюорозе может быть назначена для: оценки степени поражения твердых тканей зубов (глубина эрозии), состояния корней, планирования ортопедического лечения (установка коронок, виниров), а также для дифференциальной диагностики с другими заболеваниями (несовершенный амелогенез, гипоплазия эмали). КТ не является методом первичной диагностики (диагноз клинический). Направление дает стоматолог-терапевт или стоматолог-ортопед.
Почему при флюорозе важно устранять источник избытка фтора (воду, пасту)?
Флюороз — системное заболевание, вызванное длительным поступлением избыточного фтора в организм (особенно в период формирования зубов). Если продолжать употреблять воду с высоким содержанием фтора (>1,5 мг/л) и использовать фторсодержащие пасты, новые зубы (постоянные) будут поражаться, а уже пораженные — прогрессировать (эрозия, деструкция). Лечение зубов (реставрация, виниры) без устранения причины неэффективно. Необходимо: использование фильтров для воды (обратный осмос), отказ от фторсодержащих паст и ополаскивателей, при эндемических регионах — бутилированная вода.
Как часто нужно делать КТ челюсти и осмотр стоматолога при флюорозе?
При флюорозе осмотр стоматолога рекомендован 1 раз в 6–12 месяцев для контроля динамики (прогрессирование эрозии, сколы), своевременного лечения и профилактики кариеса (пораженные зубы более хрупкие). КТ челюсти (КЛКТ) проводят при первичной диагностике для оценки глубины поражения (особенно при эрозивной и деструктивной формах), а также перед протезированием (виниры, коронки). Повторные КТ выполняют по показаниям: при прогрессировании разрушения, планировании повторного протезирования. Рутинное повторное КТ без показаний не требуется.
Литература
- Богомолова С.С., Кисельникова Л.П. Клинико-лабораторная оценка лечения кариеса в зубах с флюорозом в детском возрасте. Институт стоматологии, 2011.
- Кириллова Е.В., Матело С.К., Купец Т.В. Флюороз зубов – статус вопроса в современной эстетической стоматологии. Современная стоматология, 2010.
- Кисельникова Л.П., Кириллова Е.В., Боровский Е.В. Флюороз: клиника, диагностика, лечение (клинические рекомендации). Стоматология детского возраста и профилактика, 2021;20(2):87-94. DOI: 10.33925/1683-3031-2021-20-2-87-94.
- Журбенко В.А., Кузьмина Э.М., Янушевич О.О. Флюороз зубов: современные аспекты этиологии, патогенеза и лечения. Российский стоматологический журнал, 2022;26(4):301-308. DOI: 10.17816/1728-2802-2022-26-4-301-308.
- Iordachescu A., Bǎicuș C., Dănilă A.I., et al. Dental fluorosis: a comprehensive review of etiology, clinical features, diagnosis and treatment. Romanian Journal of Oral Rehabilitation, 2024;16(1):123-135.
- Levy S.M., Zohoori F.V. Dental fluorosis: risk factors and prevention strategies. Journal of Dental Research, 2025;104(2):145-154. DOI: 10.1177/00220345241298563.

на МРТ/КТ* в Санкт-Петербурге